Prevalencia de signos radiológicos tempranos de capsulitis adhesiva en pacientes con síntomas inespecíficos mediante resonancia magnética

Prevalencia de signos radiológicos tempranos de capsulitis adhesiva en pacientes con síntomas inespecíficos mediante resonancia magnética

Fernando Rodríguez-Acosta 1, Dafne Mercuri 1, Ivonne Micolta-Triana 1, Óscar Rodríguez-Martínez 1, Katherine Molina-Cisneros 1, Jesús Ruiz-Romero 1, Santiago Centofante 1, Matías Scherer 1, Ezequiel Piedra 1, Óscar Montaña 1

1 Departamento de Diagnóstico por Imágenes, Clínica DIM, Buenos Aires, Argentina

*Correspondencia: Fernando Rodríguez-Acosta. Email: nando.rodac@gmail.com

Fecha de recepción: 15-07-2024

Fecha de aceptación: 23-09-2025

DOI: 10.24875/RAR.24000050

Disponible en internet: 31-03-2025

Rev Argent Radiol. 2026;90(1):12-19

Resumen

Introducción: La capsulitis adhesiva (CA) es una patología frecuente del hombro caracterizada por dolor y restricción progresiva de la movilidad, cuyo diagnóstico clínico puede resultar inespecífico en etapas tempranas, haciendo de la resonancia magnética (RM) una herramienta clave para su detección precoz. Objetivo: Determinar la prevalencia de signos radiológicos tempranos de CA en pacientes con síntomas inespecíficos mediante RM de alto campo. Método: Se realizó un estudio retrospectivo y descriptivo. Se incluyeron todos los pacientes evaluados entre 2022 y 2023 con edades comprendidas entre los 18 y 60 años que se realizaron RM de hombro (RMH) con clínica inespecífica de CA. Las RM fueron realizadas en seis resonadores de 1,5 T. Se buscaron criterios radiológicos específicos para CA, tales como presencia de sinovitis glenohumeral, hiperintensidad y engrosamiento de la cápsula articular, infiltración del intervalo de los rotadores y engrosamiento de los ligamentos coracohumeral y glenohumeral inferior. Resultados: En total se seleccionaron 2862 RMH y 794 pacientes presentaron sintomatología inespecífica; el 30% de estos (n = 240) mostraron signos de CA temprana (106 mujeres y 134 hombres). El tipo de hallazgo radiológico más frecuente fue la sinovitis glenohumeral, con un total de 188 hallazgos (78%), seguida por la infiltración de grasa en el intervalo de los rotadores en 112 (46%) y el engrosamiento capsular- articular en 83 (34%). Conclusiones: Se encontró una alta prevalencia de hallazgos radiológicos compatibles con CA en pacientes sin sospecha clínica de esta condición. Estos resultados recalcan la importancia de la realización temprana de RMH ante signos radiológicos de CA que permitan un diagnóstico correcto y un tratamiento precoz, incluso en ausencia de sospecha clínica.

Palabras clave:  Capsulitis adhesiva. Hombro congelado. Signos tempranos. Resonancia magnética.

Contenido

Introducción

La capsulitis adhesiva (CA) primaria, conocida clínicamente como “hombro congelado”, se presenta con dolor localizado y progresivo en el hombro, acompañado de disminución de la movilidad y rigidez, especialmente durante la noche1.

En 1934, Codman describió el hombro congelado, antes conocido como bursitis subacromial adhesiva, identificando síntomas como dolor en la inserción del deltoides y limitación de movimientos con radiografías normales2. La etiología y el tratamiento eran inciertos. Reeves propuso que el hombro congelado progresa en tres fases: inflamatoria, rigidez y resolución. La recuperación depende de los factores de riesgo y la cronicidad de los síntomas, lo que hace que la terapia no quirúrgica sea efectiva, aunque en casos crónicos puede ser necesaria la cirugía.

En 1945, Neviaser definió la CA primaria, u hombro congelado, con síntomas como dolor localizado, rigidez nocturna y limitación del movimiento en cuatro etapas identificadas mediante artroscopia, en función de la estadificación clínica; posteriormente, se redefinió como artrofibrosis basándose en criterios artroscópicos3,4.

La CA se manifiesta como una condición clínica caracterizada por dolor progresivo y una reducción en el rango de movimiento (ROM, range of movement) de la articulación glenohumeral. Esta afección idiopática se presenta de manera insidiosa, y es más común en mujeres de 40 a 70 años, generalmente sin un antecedente claro de evento desencadenante ni condición médica o quirúrgica5,6. No obstante, se ha identificado que la diabetes mellitus y el hipotiroidismo son factores de riesgo asociados con la CA primaria. Además, en una revisión sistemática realizada por Saltzman et al.7 se plantea que las mujeres menopáusicas que no recibieron terapia de reemplazo hormonal tendrían mayores probabilidades de desarrollar CA. Finalmente, es importante señalar que las causas secundarias de CA pueden incluir antecedentes de traumatismo grave y cirugía previa8.

Las manifestaciones clínicas de la CA se asemejan a las de otras patologías del hombro, lo que complica el diagnóstico clínico preciso de la afección. En este sentido, la resonancia magnética de hombro (RMH) se presenta como una herramienta diagnóstica de gran valor, capaz de detectar todas las etapas tempranas, incluso cuando los hallazgos clínicos son sutiles, facilitando así la instauración de un tratamiento adecuado.

El diagnóstico de CA se establece mediante criterios clínicos. Se han identificado cuatro etapas según el sistema de estadificación adaptado de Hannafin y Chiaia9 (Tabla 1).

Tabla 1. Etapas de la CA

Etapas Descripción
I Síntomas 0-3 meses
Dolor con ROM activo y pasivo.
Limitación de flexión anterior, abducción, rotación interna, rotación externa
EUA: pérdida normal o mínima de ROM
Artroscopia: sinovitis glenohumeral difusa
Patología: sinovitis hipertrófica e hipervascular, raros infiltrados de células inflamatorias, cápsula normal
II Síntomas 3-9 meses
Dolor crónico con ROM activo y pasivo, limitación significativa de flexión hacia delante, abducción, rotación interna, rotación externa
EUA: no hay cambios en el ROM en comparación con cuando el paciente está despierto
Artroscopia: sinovitis difusa y pediculada
Patología: sinovitis hipertrófica e hipervascular con cicatriz perivascular y subsinovial, fibroplasias y formación de cicatrices en la cápsula subyacente
III Síntomas 9-15 meses
Dolor mínimo excepto al final del ROM
Limitación significativa del ROM con una “sensación final” rígida
EUA: no hay cambios en el ROM en comparación con cuando el paciente está despierto
Artroscopia: no se observa hipervascularidad, restos de sinovial fibrótica, volumen capsular disminuido
Patología: sinovitis “quemada” sin hipertrofia ni hipervascularidad significativa, formación de cicatrices densas en la cápsula
IV Síntomas 15-24 meses
Dolor mínimo
Mejora progresiva en el ROM

EUA: examination under anesthesia; ROM: rango de movimiento.

Adaptada de Hannafin y Chiaia9.

Los datos radiológicos asociados a la CA en la resonancia magnética (RM) no han sido extensamente documentados en la literatura. No obstante, se ha establecido que los rangos normales de referencia para la cápsula articular asintomática y el grosor sinovial son de 2,9 mm o menos. Además, se ha investigado detalladamente la morfología de la cápsula anterior, abordando aspectos como su grosor y la intensidad de la señal10.

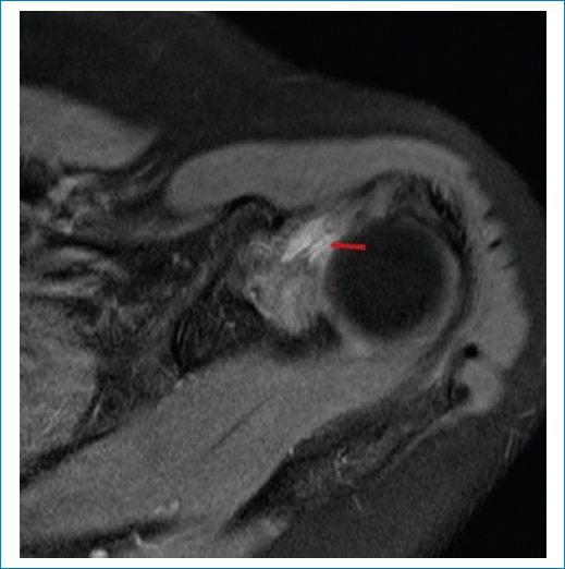
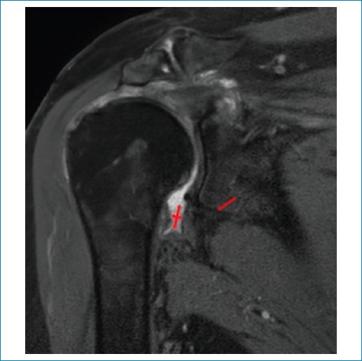
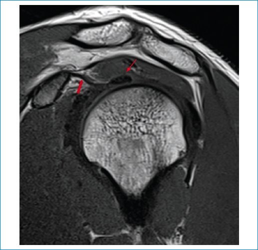
En nuestra serie aplicamos los criterios de Emig et al.11, que incluyen la hiperintensidad o el engrosamiento del ligamento glenohumeral inferior > 3 mm (Figs. 1 a 3), el engrosamiento capsular del receso axilar (con valores que varían según los estudios, pero descrito en general como > 7 mm) (Fig. 3), el engrosamiento del ligamento coracohumeral > 4 mm (Fig. 4), la infiltración grasa y la hiperintensidad del intervalo rotador (Figs. 5 a 7), y la obliteración de la grasa subcoracoidea (descrita como ausente, parcial o completa) (Fig. 8).

El objetivo del tratamiento en los pacientes con CA varía de acuerdo con la estadificación clínica. Sin embargo, la superposición de las manifestaciones clínicas de CA con las de otras patologías del hombro subraya la importancia de la confirmación radiológica mediante RM.

Figura 1. RM en secuencia DP-FS, corte coronal. Se observa un engrosamiento del ligamento glenohumeral inferior con señal hiperintensa en el receso axilar (flecha).

Figura 2. Ilustración de un corte coronal mostrando engrosamiento capsular del receso axilar (flecha).

Figura 3. RM en secuencia DP-FS, corte coronal. Se observan el engrosamiento capsular y la medida de la altura y el ancho máximos de la bolsa axilar (flechas).

Figura 4. RM en secuencia DP, corte sagital. Se observan el ligamento coracohumeral (flecha gruesa) y el tendón del bíceps braquial (flecha fina).

Figura 5. RM en secuencia potenciada en T2, corte sagital. Se observan obliteración parcial del intervalo rotador (flecha gruesa), engrosamiento del ligamento coracohumeral (flecha fina) y bíceps braquial (punta de flecha).

Figura 6. Ilustración de un corte sagital que muestra el ligamento coracohumeral (flecha gruesa), la cápsula articular (punta de flecha) y el tendón del bíceps braquial (flecha fina).

Figura 7. RM en secuencia DP-FS, corte axial. Se observa hiperintensidad leve en el intervalo rotador.

Figura 8. RM en secuencia potenciada en T2, corte sagital. Se observa obliteración de la grasa subcoracoidea (asterisco).

En los estadios tempranos de la CA, el tratamiento busca interrumpir el ciclo inflamatorio mediante la administración intraarticular de corticosteroides (sinovectomía química) y la implementación de una terapia de rehabilitación enfocada en el fortalecimiento del ROM. Se plantea la hipótesis de que la terapia de reemplazo hormonal puede tener un efecto protector frente a la CA, asociado a un efecto estrogénico aún no esclarecido totalmente7. En los estadios más avanzados, el tratamiento se basa en la inyección de corticosteroides y terapia física. En los casos más crónicos, puede ser necesaria la liberación y manipulación artroscópica de la cápsula8.

En nuestra investigación hemos observado que una intervención temprana con RM permite identificar las características específicas de la CA, facilitando un enfoque terapéutico más preciso y oportuno. Estos hallazgos subrayan la importancia de una evaluación radiológica detallada para optimizar las estrategias de tratamiento y mejorar los resultados clínicos de los pacientes.

En Argentina, actualmente no se dispone de datos sobre la incidencia de CA debido a limitaciones en la disponibilidad de información relacionada con las características clínicas. Por lo tanto, el objetivo principal de esta revisión retrospectiva de pacientes fue determinar si los hallazgos tempranos por RMH son sugestivos de CA y podrían correlacionarse con su función clínica y el estadio de la enfermedad.

Método

Se realizó un estudio retrospectivo y descriptivo en el que se incluyeron todos los pacientes de nuestra institución, con edades comprendidas entre 18 y 60 años, que fueron evaluados en 2022 y 2023. El estudio fue aprobado por el Comité de Ética Institucional, y se llevó a cabo de conformidad con los principios éticos vigentes. Los estudios se realizaron con seis resonadores Phillips de 1,5 T. En total, se evaluaron 240 pacientes con sintomatología inespecífica que presentaban hallazgos tempranos de CA. El resumen de los hallazgos radiológicos se presenta en la figura 9.

Figura 9. Distribución de los hallazgos radiológicos en la RMH en pacientes con signos tempranos de CA (n = 240): sinovitis glenohumeral en 188 casos (78%), infiltración grasa en el intervalo de los rotadores en 112 casos (46%), engrosamiento capsular-articular en 83 casos (34%), engrosamiento del ligamento glenohumeral inferior en 97 casos (40%) y engrosamiento del ligamento coracohumeral en 4 casos (1,6%).

Inicialmente se recopilaron pacientes con sintomatología inespecífica realizando una revisión sistemática de las imágenes obtenidas en la institución, con un enfoque de selección en búsqueda de signos tempranos de CA. Las imágenes fueron recopiladas, seleccionadas y revisadas por el equipo de residentes y médicos radiólogos de la institución. Se aplicaron como criterios de exclusión la presencia de sintomatología sugestiva de CA previa, la edad menor de 15 años o mayor de 85 años, los estudios con contraste intravenoso y aquellos con artefactos que comprometían la calidad de la imagen.

Protocolo de adquisición

El protocolo de adquisición se estableció utilizando un resonador magnético de alto campo Philips de 1,5 T con bobina dedicada (shoulder coil). Se adquirieron secuencias en los planos coronal, axial y sagital, con y sin saturación grasa, en potenciaciones T2, T1 y densidad protónica. Las secuencias adquiridas con saturación grasa (Fat Sat) se realizaron con la técnica SPAIR (Spectral Attenuated Inversion Recovery), utilizando los parámetros que se detallan en la tabla 2.

Tabla 2. Parámetros técnicos del protocolo de RMH (1,5 T)

Secuencia FA TR TE Tamaño vóxel FOV
Coronal DPSPAIR FS 90 2500-5000 (rango) 30× 0,5 × 0,76 × 3,5 RL: 141FH: 14AP: 71
Coronal T1 90 1000 15 0,5 × 0,65 × 3 RL: 141FH: 14AP: 71
Axial DP FS 90 2500-5000 (rango) 30 0,5 × 0,7 × 3 RL: 160FH: 140AP: 77
Sagital T2 90 3000-5000 (rango) 80 0,5 × 0,75 × 3,5 RL: 77FH: 140AP: 140
Sagital T1 (opcional) 90 2500-5000 (rango) 30 0,5 × 0,76 × 3,5 RL: 77FH: 140AP: 140

AP: anteroposterior; DP: densidad protónica; FA: flip angle; FH: foot–head; FOV: field of view; FS: fat saturation; RL: right-left; SPAIR: spectral attenuated inversion recovery; TE: tiempo de eco; TR: tiempo de repetición.

Análisis estadístico

La recopilación de la información se llevó a cabo utilizando una base de datos creada en una hoja de cálculo, específicamente en Google Spreadsheets. Las variables categóricas se expresaron como frecuencias absolutas (número de casos) y relativas (porcentajes).

Resultados

En los años 2022 y 2023 se identificaron 2862 estudios de RMH, y 794 pacientes presentaban sintomatología inespecífica. De estos, el 30% (n = 240) mostraron signos radiológicos de CA. Se identificaron 240 pacientes que cumplieron con los criterios de inclusión radiológica y presentaban síntomas inespecíficos (Fig. 10). De estos, 134 eran mujeres y 106 hombres (Fig. 11), con una edad entre 18 y 60 años (Fig. 12). La lateralidad predominantemente fue el hombro derecho, con el 51% de los casos, mientras que el hombro izquierdo correspondió al 48% (Fig. 13).

Figura 10. Distribución de los pacientes con y sin hallazgos radiológicos sugestivos de CA entre quienes presentaban sintomatología inespecífica (n = 794).

Figura 11. Distribución por sexo de los 240 pacientes con signos tempranos de CA. Hubo una mayor prevalencia en las mujeres, con 134 casos (55%), frente a 106 en los varones (44%).

Figura 12. Distribución etaria de los 240 pacientes con signos tempranos de CA. Se observó una mayor frecuencia en el grupo de 40 a 49 años.

Figura 13. Lateralidad del compromiso del hombro en pacientes con signos radiológicos de CA. Hubo compromiso derecho en 123 pacientes (51%) e izquierdo en 117 (48%). Dado que las frecuencias son similares, no se evidencian diferencias clínicamente significativas.

El engrosamiento de la cápsula articular varió de 4 a 10 mm, con un promedio de 7 mm. El tipo de hallazgo radiológico más frecuente fue la sinovitis glenohumeral, con 188 casos (78%), seguida por la infiltración de grasa en el intervalo de los rotadores, con 112 (46%), y el engrosamiento capsular-articular, con 83 casos (34%) (Fig. 9). La frecuencia de los síntomas y las características de la imagen de CA se resumen en la tabla 3.

Tabla 3. Características de la población obtenida

Pacientes (n = 240)
Edad Entre 18-60 años
Sexo
 Hombre 106 (44,2%)
 Mujer 134 (55,8%)
Características radiológicas por resonancia
 Sinovitis glenohumeral 188 (78,3%)
 Engrosamiento capsular articular 83 (34,6%)
 Inflamación del int. de los rotadores 112 (46,7%)
 Ligamento Glenohumeral inferior 97 (40,4%)
 Ligamento Coracohumeral 4 (1,6%)
Lateralidad por afectación
 Derecho 123 (51,3%)
 Izquierdo 117 (48,8%)

Discusión y conclusiones

De acuerdo con nuestros resultados, hubo una alta prevalencia de pacientes con sinovitis glenohumeral e inflamación del intervalo de los rotadores con sintomatología inespecífica. Esto subraya la importancia de realizar una RM en los pacientes sin síntomas claros, ya que un diagnóstico precoz y una adecuada estadificación clínica son fundamentales para un tratamiento rápido y eficaz de esta patología.

Emig et al.11 hallaron una correlación entre el espesor de la cápsula articular y sinovial > 4 mm y el diagnóstico clínico de CA. También Chellathurai et al.12 y Guity et al.13 reportaron una correlación significativa entre la RM y los resultados del tratamiento en pacientes con criterios clínicos establecidos.

Kapoor et al.14 señalan que el edema en la cápsula articular del hombro es un marcador de imágenes indicativo de CA, lo cual es útil para diferenciar a los pacientes con esta condición de aquellos que no la presentan, junto con otros hallazgos comprobados en la RM.

Según la literatura, los autores que analizamos no correlacionaron sus hallazgos de RM con clínica inespecífica, sino con un diagnóstico clínico ya establecido de CA, lo cual representa una diferencia clave con nuestra investigación.

Este estudio presenta algunas limitaciones. En primer lugar, la heterogeneidad terminológica utilizada en la literatura para referirse a la CA en estudios por imágenes que podría haber condicionado la exhaustividad de la revisión de la base de datos y de casos institucionales. Asimismo, debido al diseño retrospectivo del trabajo, la información disponible en los interrogatorios y en las historias clínicas fue variable, lo que pudo introducir sesgos en el análisis, particularmente en aquellos pacientes con sintomatología inespecífica al momento de la realización de la RMH.

La RM se ha consolidado como una herramienta invaluable en la investigación, gracias a su carácter no invasivo y su capacidad para ofrecer una visualización anatómica detallada para diagnosticar casos inespecíficos, y también proporciona información que puede ayudar a diferenciar entre los estadios tempranos y tardíos. Este estudio proporciona una base para futuras investigaciones, contribuyendo a optimizar las estrategias diagnósticas y terapéuticas en la práctica clínica radiológica.

Agradecimientos

Los autores agradecen a la Clínica de diagnóstico DIM por el soporte y el acompañamiento de esta investigación.

Financiamiento

Los autores declaran no haber recibido financiamiento para este estudio.

Conflicto de intereses

Los autores declaran no tener conflicto de intereses.

Consideraciones éticas

Protección de personas y animales. Los autores declaran que para esta investigación no se han realizado experimentos en seres humanos ni en animales.

Confidencialidad, consentimiento informado y aprobación ética. Los autores han obtenido la aprobación del Comité de Ética para el análisis de datos clínicos obtenidos de forma rutinaria y anonimizados. Debido a la naturaleza del estudio, no fue necesario el consentimiento informado individual. Se han seguido las recomendaciones éticas pertinentes.

Declaración sobre el uso de inteligencia artificial. Los autores declaran que no se utilizó ningún tipo de inteligencia artificial generativa para la redacción ni la creación de contenido de este manuscrito.

Bibliografía

1. Neviaser JS. Adhesive capsulitis of the shoulder. A study of the pathological findings in periarthritis of the shoulder. J Bone Joint Surg. 1945;27:211-22.

2. Codman EA. The shoulder:rupture of the supraspinatus tendon and other lesions in or about the subacromial bursa. Boston:T. Todd Company;1934.

3. Neviaser RJ. Painful conditions affecting the shoulder. Clin Orthop. 1983;173:63-9.

4. Neviaser RJ, Neviaser TJ. The frozen shoulder. Diagnosis and management. Clin Orthop. 1987;223:59-64.

5. Neviaser TJ. Adhesive capsulitis. En:McGinty JB, Caspari RB, Jackson RW, Poehling GG, editores. Operative arthroscopy. 2nd ed. Philadelphia:Lippincott-Raven;1996. 785-92.

6. St Angelo JM, Taqi M, Fabiano SE. Adhesive capsulitis. En:StatPearls. Treasure Island (FL):StatPearls Publishing;2024.

7. Saltzman E, Kennedy J, Ford A, Reinke E, Green C, Poehlein E, et al. Poster 188:Is hormone replacement therapy associated with reduced risk of adhesive capsulitis in menopausal women?A single-center analysis. Orthop J Sports Med. 2023;11(7 Suppl 3):2325967123S00174.

8. Redler LH, Dennis ER. Treatment of adhesive capsulitis of the shoulder. J Am Acad Orthop Surg. 2019;27:544-54.

9. Hannafin JA, Chiaia TA. Adhesive capsulitis:a treatment approach. Clin Orthop. 2000;372:95?109.

10. Chi AS, Kim J, Long SS, Morrison WB, Zoga AC. Non-contrast MRI diagnosis of adhesive capsulitis of the shoulder. Clin Imaging. 2017;44: 46-50.

11. Emig EW, Schweitzer ME, Karasick D, Lubowitz J. Adhesive capsulitis of the shoulder:MRI diagnosis. Am J Roentgenol. 1995;164: 1457-9.

12. Chellathurai A, Subbiah K, Elangovan A, Kannappan S. Adhesive capsulitis:MRI correlation with clinical stages and proposal of MRI staging. Indian J Radiol Imaging. 2019;29:19-24.

13. Guity MR, Khan F, Gity M, Sheidaie H, Aghaghazvini L. Prevalence and correlation between MRI findings and outcome of conservative treatment in primary idiopathic frozen shoulder. Arch Bone Joint Surg. 2024;12: 275-82.

14. Kapoor R, Husseini JS, Staffa SJ, Palmer WE, Torriani M, Chang CY, et al. Posterior capsule edema in adhesive capsulitis:comparison with established non-contrast MRI findings and multivariable analysis. Eur Radiol. 2024;34:260-9.