Manifestaciones del dengue en tomografía computada de cerebro

Manifestaciones del dengue en tomografía computada de cerebro

Melisa D. Pallud 1, Mariana Sammarone 1, M. Milagros Vallejos-Basterra 1, M. Milagro Alvez 1, José D. Matcovich 1, Daniel Forlino 1

1 Servicio de Diagnóstico por Imágenes, Hospital Julio Cecilio Perrando, Resistencia, Chaco, Argentina

*Correspondencia: Melisa D. Pallud, Email no disponible

Fecha de recepción: 14-07-2024

Fecha de aceptación: 15-01-2025

DOI: 10.24875/RAR.24000048

Disponible en internet: 31-03-2025

Rev Argent Radiol. 2026;90(1):4-11

Resumen

Introducción: El dengue es una enfermedad viral transmitida por artrópodos (Aedes aegypti). La región Nordeste de Argentina es una de las más afectadas, con un brote epidémico durante el periodo estival 2023-2024. Aunque poco frecuente, dicha enfermedad puede presentar afectación del sistema nervioso central. Objetivo: Caracterizar las manifestaciones en la tomografía computada de cerebro (TCC) en pacientes con dengue internados en un hospital central de referencia, su relación con los criterios de gravedad según la OMS y el desenlace de la enfermedad. Método: Se llevó a cabo un estudio observacional, retrospectivo y analítico de pacientes internados por dengue en un hospital de referencia, confirmado por PCR o IgM, entre el 01/12/2023 y el 28/04/2024, en quienes se efectuó TCC. Se recopilaron datos demográficos, clínicos y de laboratorio, y se realizó un análisis estadístico bivariado. Resultados: De 219 pacientes internados, solo 45 fueron estudiados con TCC y se identificaron cinco casos con lesiones agudas. Todos presentaron dengue grave, la edad media fue de 48 años y el 80% eran hombres. Las lesiones agudas en TCC se asociaron con mayor riesgo de mortalidad (RR: 6,4; IC95%: 2,53-16,22; p = 0,002). Conclusiones: Los hallazgos en la TCC de pacientes con dengue son heterogéneos e infrecuentes, pero están presentes en casos graves y asociados con alta mortalidad. Por ello, la TCC es útil para el manejo y el monitoreo de pacientes con dengue grave.

Palabras clave:  Dengue. Tomografía. Cerebro. Manifestaciones neurológicas.

Contenido

Id previo:  191

Introducción

El dengue es una enfermedad causada por un arbovirus, con cuatro serotipos relacionados (DENV-1, DENV-2, DENV-3 y DENV-4). Es la virosis humana transmitida por artrópodos (Aedes aegypti) más importante¹. La Región Nordeste de la República Argentina sobrelleva una endemia de dengue con un brote epidémico durante el periodo estival 2023-2024. Aunque poco frecuente, la afección del sistema nervioso central (SNC) puede deberse a la acción directa del virus, a cambios metabólicos o a una reacción autoinmunitaria2,3. Dentro de las manifestaciones clínicas agudas de la enfermedad se mencionan cuadros de encefalitis, encefalopatías, polirradiculopatías y accidentes vasculares cerebrales, entre otros25. En algunas publicaciones se describen diferentes rangos de incidencia de encefalitis y encefalopatías por dengue, según la población, que varían entre el 0,26% en la India y el 0,06% en Brasil2,3. Ante dichos eventos agudos se indican en primera instancia estudios de tomografía computada del cerebro (TCC), que contribuyen a establecer el diagnóstico y el pronóstico de los pacientes. Sin embargo, para nuestro conocimiento, no existen investigaciones locales sobre los hallazgos en imágenes del SNC que describan las alteraciones relacionadas con el dengue en la etapa aguda de la enfermedad.

Objetivo

El objetivo del presente estudio es caracterizar las manifestaciones en la TCC en pacientes internados por dengue en un hospital provincial central, su relación con las categorías de gravedad y el desenlace de la enfermedad.

Método

Se realizó un estudio observacional, retrospectivo y analítico en el hospital de referencia de mayor complejidad provincial, que atiende pacientes a partir de 14 años de edad y cuenta con 568 camas, todas las especialidades médicas, un amplio sistema de residencias de salud y un servicio de diagnóstico por imágenes donde se realizan 10.221 tomografías por año.

Se consideraron todos los pacientes que cumplieran los criterios de inclusión: internados con diagnóstico confirmado de dengue en el hospital provincial, durante el periodo del 01/12/2023 al 28/04/2024, a quienes los profesionales tratantes les solicitaron TCC. Se excluyeron los pacientes con otras afecciones clínico/quirúrgicas que justificaran la sintomatología que motivó la TCC, que fueran confirmadas antes del alta u óbito y quedaran registradas en la historia clínica.

Se consideró dengue confirmado todo caso que cumpliera con los criterios vigentes del Ministerio de Salud de la Nación6 y confirmado por laboratorio. Además, los pacientes se agruparon en categorías de gravedad según los criterios de la Organización Panamericana de la Salud (OPS) y de la Organización Mundial de la Salud (OMS)1:

  • –Dengue sin signos de alarma, correspondiente a toda persona que vive o ha viajado en los últimos 14 días a zonas con transmisión de dengue y presenta fiebre, habitualmente de dos a siete días de evolución, y dos o más de las siguientes manifestaciones:

    • Náuseas o vómitos.
    • Exantema.
    • Cefalea o dolor retroorbitario.
    • Mialgia o artralgia.
    • Petequias o prueba del torniquete positiva.
    • Leucocitopenia.

  • –Dengue con signos de alarma, correspondiente a todo caso de dengue que habitualmente en el momento del descenso de la fiebre, presenta uno o más de los siguientes signos:

    • Dolor abdominal intenso y persistente.
    • Vómitos persistentes.
    • Acumulación de líquidos (ascitis, derrame pleural, derrame pericárdico).
    • Sangrado de mucosas.
    • Letargo o irritabilidad.
    • Hipotensión postural (lipotimia).
    • Hepatomegalia > 2 cm.
    • Aumento progresivo del hematocrito.

  • –Dengue grave, correspondiente a todo caso de dengue que muestra una o más de las siguientes manifestaciones:

    • Choque o dificultad respiratoria debido a extravasación grave de plasma. Choque evidenciado por pulso débil o indetectable, taquicardia, extremidades frías y llenado capilar > 2 segundos, o presión de pulso ≤ 20 mmHg e hipotensión en fase tardía.
    • Sangrado grave según la evaluación del médico tratante (p. ej., hematemesis, melena, metrorragia voluminosa o sangrado del SNC)
    • Compromiso grave de órganos, como daño hepático (glutamato piruvato transaminasa [GPT] y glutámico oxalacética transaminasa [GOT] ≥1000 UI), del SNC (alteración de la consciencia), del corazón (miocarditis) o de otros órganos.

La acumulación de líquidos (ascitis, derrame pleural y pericárdico) se certificó mediante exámenes de ecografía y tomografía computada (TC). También se recopilaron los datos del laboratorio, considerando plaquetopenia un recuento ≤ 150.000 células/mm3, hematocrito elevado si era ≥ 48% y leucocitopenia cuando el recuento de glóbulos blancos era ≤ 4000 células/mm3. Además, se registraron los valores de GOT > 40 U/l, GPT > 36 U/l y fosfatasa alcalina > 298 UI/l. Se consideró el método directo o indirecto de laboratorio utilizado para el diagnóstico de dengue y sus resultados. En aquellos pacientes en los que se realizó punción lumbar se recopiló el resultado de la prueba de reacción en cadena de la polimerasa (PCR) para dengue en el líquido cefalorraquídeo (LCR).

La identificación de los pacientes se basó en los datos aportados por los servicios de epidemiología e infectología. Mediante revisión de las historias clínicas se registraron la edad, el sexo, la fecha de internación y los síntomas.

Por otro lado, se registró la comorbilidad, incluyendo hipertensión arterial, diabetes, obesidad, insuficiencia renal aguda y crónica, cardiopatías, hepatopatías, inmunodepresión y enfermedades oncológicas y del colágeno, así como embarazo y puerperio. También se tuvo en cuenta el desenlace de la enfermedad: alta hospitalaria u óbito.

Los exámenes de TCC se realizaron sin contraste intravenoso en dos equipos de 16 hileras de detectores (Toshiba, modelo Activision, y Siemens, modelo Healthineers Somaton Go Now). Se registró el periodo en días, desde la fecha de internación hasta la realización de la TCC.

Los hallazgos en la TCC se categorizaron en:

  • –Accidente cerebrovascular (ACV) isquémico agudo.
  • –Hematomas intracraneales intraaxiales y extraaxiales.
  • –Hemorragia subaracnoidea aguda.
  • –Encefalitis aguda en aquellos pacientes con edema cerebral difuso de acuerdo con la definición de Kulkarni et al.2.
  • –Encefalopatía necrotizante aguda cuando el edema se ubicaba predominantemente en el tronco cerebral, el cerebelo y el tálamo, con o sin focos de hemorragia aguda asociada en dichas áreas, de acuerdo con la definición de Vanjare et al.7.
  • –Encefalopatía reversible posterior cuando el edema se ubicaba a nivel cortico-subcortical parieto-occipital bilateral, según el patrón típico.
  • –Otros hallazgos patológicos no relacionados con dengue (secuela de ACV y trauma, atrofia, abscesos, empiemas, hidrocefalia, lesión ocupante de espacio, otros).
  • –Normal.

Para el análisis estadístico, las variables cuantitativas se describen como media con su desviación estándar, y las variables categóricas como frecuencias absolutas y relativas. Además, se analizó la asociación de las variables continuas mediante la prueba t y de las variables categóricas mediante la prueba χ2, considerando como significativos los valores de p ≤ 0,05, utilizando el programa Epi Info 7.2.6.0. Por último, se estimó el riesgo relativo (RR) de muerte por dengue en los pacientes con y sin hallazgos agudos en la TCC.

La investigación fue aprobada por el comité de ética institucional y se respetaron las condiciones mencionadas en la Guía para Investigaciones en Salud Humana aprobada por la Resolución 1480/2011 del Ministerio de Salud de la Nación.

Resultados

Durante el periodo comprendido entre el 01/12/2023 y el 28/04/2024 se internaron en el hospital provincial central 219 pacientes con diagnóstico confirmado de dengue y se realizó TCC en 46 (21%). Se excluyó un paciente por presentar abdomen agudo quirúrgico debido a un vólvulo de colon sigmoides confirmado en la cirugía. Los restantes 45 pacientes, todos con dengue confirmado por serología, constituyen la muestra en estudio. Las características demográficas, clínicas y de laboratorio de los pacientes se exponen en la tabla 1.

Tabla 1 Características demográficas, clínicas y de laboratorio de los 45 pacientes con dengue confirmado, internados y con TCC, en el hospital provincial de referencia, en el periodo del 01/12/2023 al 28/04/2024

Variables registradas n %
Sexo
 Hombre 24 53,3
 Mujer 21 46,6
Edad (años)
 14-29 6 13,3
 30-49 9 20
 50-69 19 42,2
 70 y más 11 24
Sintomatología clínica*
 Cefalea 33 73,3
 Confusión o trastorno del sensorio 23 51,1
 Fiebre 43 95,5
 Sangrado de mucosas 3 6,6
 Mialgia o artralgia 29 64,4
 Dolor abdominal 14 31,1
 Rigidez de nuca 5 11,1
 Dolor retroocular 13 28,8
Categorías de gravedad (OPS/OMS)
 DSSA 9 20
 DCSA 12 26,6
 DG 24 53,3
Diagnóstico serológico*
 PCR 34 75,5
 IgM 11 24,4
Plaquetopenia
 Sin plaquetopenia 13 28,8
 Con plaquetopenia 32 71,1
 Leve (100.000-150.000/mm3) 8 17,7
 Moderada (50.000-100.000/mm3) 13 28,8
 Grave (< 50.000/mm3) 11 24,4
Leucocitopenia (≤ 4000 células/mm3) 19 42,2
Hemoconcentración (hematocrito ≥ 48%) 6 13,3
Elevación de enzimas hepáticas
 GOT 26 57,7
 GPT 22 48,8
PCR en LCR 11 24,4
 Positivo 1 2,2
 Negativo 10 22,2
Comorbilidades
 Con comorbilidades 29 64,4
 Sin comorbilidades 16 35,5
HTA 22 48,8
DBT 7 15,5
IRA/IRC 6 13,3
Obesidad 1 2,2
Cardiopatías 2 4,4
Hepatopatías 2 4,4
Inmunosupresión (VIH) 1 2,2
Anticoagulación 1 2,2
TCC, días desde el ingreso
 1 32 71,1
 2 7 15,5
 3-6 5 11,1
 7 o más 1 2,2
Desenlace
 Recuperación y alta clínica 36 80
 Óbito 9 20

* La suma supera el 100% debido a que los pacientes presentaron más de un síntoma.

DBT: diabetes mellitus; DCSA: dengue con signos de alarma; DG: dengue grave; DSSA: dengue sin signos de alarma; GOT: glutámico oxalacética transaminasa; GPT: glutamato piruvato transaminasa; HTA: hipertensión arterial;

IgM: inmunoglobulina M; IRA/IRC: insuficiencia renal aguda/crónica;

PCR: reacción en cadena de polimerasa; TCC: tomografía computada de cráneo; VIH: virus de la inmunodeficiencia humana.

Las TCC se realizaron dentro de los primeros seis días de internación en el 97,7% de los casos. Se hallaron 21 (46,6%) estudios normales, 19 (42,2%) mostraron lesiones crónicas y en cinco (11,1%) hubo hallazgos patológicos agudos. Tomando en consideración la totalidad de los pacientes internados en el periodo de observación, la frecuencia de lesiones intracraneales agudas alcanzó el 2,2% (5/219).

Respecto a los cinco pacientes con hallazgos patológicos agudos en la TCC, cuyas características demográficas y clínicas se describen en la tabla 2, se reconocieron un ACV isquémico agudo en el territorio de la arteria cerebral media derecha (Fig. 1), un edema cerebral difuso por encefalitis (Fig. 2), una encefalopatía necrotizante aguda (Fig. 3) y dos hematomas intracraneales intraaxiales, de los cuales uno en se ubicó en los núcleos de la base del hemisferio cerebral izquierdo y el otro en el lóbulo parietal derecho (Fig. 4). Todos ellos correspondieron a cuadros de dengue grave.

Tabla 2. Características generales de los cinco pacientes con dengue confirmado, internados en el hospital provincial de referencia y con hallazgos agudos en la TCC, en el periodo del 01/12/2023 al 28/04/2024

Variable Paciente 1 Paciente 2 Paciente 3 Paciente 4 Paciente 5
Edad (años) 81 25 37 50 47
Sexo Femenino Masculino Masculino Masculino Masculino
Hallazgos en la TCC ACV isquémico de la arteria cerebral media derecha Edema cerebral difuso por encefalitis Encefalopatía necrotizante aguda Hematoma intracraneal en núcleos de la base del hemisferio izquierdo Hematoma intracraneal lobar parietal derecho
Comorbilidad HTA y cardiopatía No No HTA No
Plaquetopenia Grave Grave No Leve Grave
Tipificación de dengue Sin tipificar DEN-1 Coinfección DEN-1 y DEN-2 DEN-1 Sin tipificar
Desenlace de la enfermedad Óbito Óbito Óbito Alta hospitalaria Óbito

ACV: accidente cerebrovascular; DEN-1: serotipo 1 del virus del dengue; DEN-2: serotipo 2 del virus del dengue; HTA: hipertensión arterial; TCC: tomografía computada de cráneo.

Figura 1. TCC de una paciente de 81 años con ACV isquémico agudo en el territorio de la arteria cerebral media derecha. Obsérvese el área hipodensa cortical y subcortical fronto-parieto-temporal con leve efecto de masa (asteriscos). Imágenes axial (A) y coronal (B).

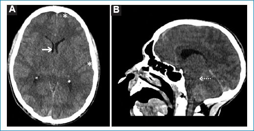
Figura 2. TCC de un paciente de 25 años con edema cerebral difuso por encefalitis. Obsérvense la obliteración del espacio subaracnoideo (asteriscos), la reducción en el tamaño de los ventrículos laterales (flecha) y el colapso del cuarto ventrículo (flecha punteada). Imágenes axial (A) y sagital (B).

Figura 3. TCC de un paciente de 37 años con encefalopatía necrotizante aguda, en la que se observa hipodensidad de ambos tálamos, tronco cerebral y cerebelo por edema (asteriscos). Nótese además el colapso del cuarto ventrículo (flecha). Imágenes axial (A) y sagital (B).

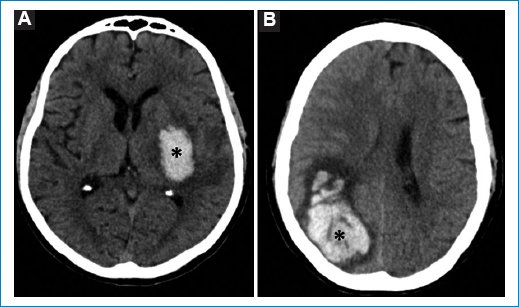
Figura 4. Imágenes axiales de TCC de dos pacientes varones con hematomas intracraneales agudos (asteriscos). (A) Paciente de 50 años con hematoma en los núcleos de la base del hemisferio cerebral izquierdo. (B) Paciente de 47 años con hematoma lobar parietal derecho.

La edad media de los pacientes con hallazgos agudos en la TCC fue de 48 ± 20,9 años, mientras que la de los pacientes sin lesiones agudas fue de 55,2 ± 18,3 años (t= −0,82; p = 0,42). Estos valores indican que no hay una diferencia estadísticamente significativa entre las edades medias de los pacientes con hallazgos agudos en la TCC y las de aquellos sin lesiones agudas.

En la tabla 3 se presenta el análisis bivariado, en el que no se hallaron asociaciones estadísticamente significativas entre los hallazgos agudos en la TCC y las variables seleccionadas.

Tabla 3. Análisis estadístico bivariado en los pacientes con dengue y TCC

Variable OR IC 95% P
Sexo masculino 3,89 0,04-103,54 0,12
Cefalea 1,50 0,17-40,77 0,39
DCSA y DG Indefinido 0,30-indefinido 0,15
Comorbilidad 0,33 0,04-2,47 0,13
Plaquetopenia 1,70 0,19-45,76 0,35

DCSA: dengue con signos de alarma; DG: dengue grave; IC 95%: intervalo de confianza 95%; OR: odds ratio; TCC: tomografía computada de cráneo.

Por último, la comparación de la mortalidad entre los pacientes con y sin hallazgos agudos en la TCC, considerando que en el primer grupo fallecieron cuatro (80%), mientras que en el segundo se registraron cinco óbitos (12,5%), se traducen en un RR de 6,4 (intervalo de confianza del 95%: 2,53-16,22; p = 0,002) para los primeros.

Discusión

El dengue es una infección viral sistémica de creciente importancia mundial. Actualmente es una enfermedad endémica en más de 100 países de las regiones tropicales y subtropicales de Asia, África y América. El virus se transmite a través de un mosquito vector infectado, mayoritariamente A. aegypti y en menor medida Aedes albopictus. Sin embargo, se mencionan otras vías de transmisión poco frecuentes, como la perinatal, mediante transfusión sanguínea, por trasplante de órganos y la sexual. El periodo de incubación, desde la exposición hasta el desarrollo de los síntomas, suele ser de cuatro a 10 días8.

Entre los mecanismos fisiopatológicos de la enfermedad se citan las lesiones tisulares directas inducidas por el virus, la hemorragia capilar, la coagulación intravascular diseminada, la disfunción multisistémica por insuficiencia hepática, la hipoperfusión cerebral, el desequilibrio electrolítico y el shock9.

En nuestra cohorte, el 21% (46/219) de los pacientes hospitalizados con dengue requirieron TCC, lo que sugiere una frecuencia considerable de sospecha de complicaciones neurológicas. En ellos, excluyendo un paciente con abdomen agudo quirúrgico, el síntoma predominante fue la cefalea (73,3%) y el 11,1% (5/45) presentaron hallazgos patológicos agudos en la TCC, lo que representa el 2,2% del total de los pacientes hospitalizados por dengue. La frecuencia registrada concuerda con los hallazgos de Kulkarni et al.2, quienes reportaron un 2,64% (154/5821) de pacientes con manifestaciones neurológicas, durante un periodo de seis años (2014-2019) en un estudio observacional retrospectivo en la India.

Es necesario mencionar aquí la heterogeneidad de los hallazgos tomográficos en nuestro estudio, que refleja la diversidad de las complicaciones neurológicas asociadas al dengue descritas en la literatura. Entre ellas cabe mencionar el edema cerebral difuso por encefalitis, los ACV isquémicos y hemorrágicos, los hematomas extraaxiales subdurales y epidurales, la hemorragia subaracnoidea, los síndromes de encefalopatía reversible posterior y la encefalopatía necrotizante aguda25,79.

Además, una alta proporción de los exámenes de TCC en nuestra investigación fueron normales (46,6%). Este resultado coincide con otro estudio cuyos autores reportaron un 42,9% de estudios normales en una serie de 35 pacientes7. De esta manera, la falta de correlación entre los síntomas neurológicos y los hallazgos en las imágenes podría estar relacionada con los trastornos metabólicos presentes en este grupo de pacientes.

En la presente investigación destacamos la mayor frecuencia de hallazgos patológicos agudos en la TCC de pacientes del sexo masculino (80%), con una edad media de 48 ± 20,9 años. Estos datos concuerdan con los de una serie de cinco pacientes previamente sanos con hemorragia intracraneal por dengue, el 80% hombres, con una edad media de 26,2 años (rango: 9-45)10. Igualmente, en otro estudio de 21 pacientes con encefalopatía por dengue confirmado por serología, 20 de ellos evaluados por resonancia magnética (RM) y uno con TC, se reconoció la predominancia en los hombres (76%) con una edad media de 30 años (rango: 5-69)11.

La hemorragia intracraneal en particular se presume como consecuencia de la vasculopatía, la coagulopatía, la disfunción plaquetaria y la trombocitopenia9. Esta última ha sido identificada como un factor de riesgo en una serie de casos de hemorragia intracraneal por dengue2. En nuestra investigación, la plaquetopenia estuvo presente en cuatro de los cinco pacientes con hallazgos agudos en la TCC y en los dos con hemorragia aguda. Estos datos arrojan una frecuencia del 0,91% (2/291) del total de los pacientes internados y concuerda con un estudio observacional retrospectivo de 1627 pacientes diagnosticados serológicamente de dengue y asistidos en un hospital de la India, en el que se encontró una incidencia de hemorragia del SNC del 1,1% (18/1627), en todos los casos con plaquetopenia (< 64.000/ml) y una mortalidad del 16,6%12.

Cabe mencionar un estudio de cohorte basado en población que investigó el riesgo de ACV isquémico o hemorrágico en pacientes con dengue y halló una tasa de incidencia general mayor en la cohorte con dengue en comparación con el grupo control, de 5,33 frente a 3,72 por 1000 personas-año, especialmente en los primeros dos meses desde el inicio de la enfermedad. La mayor incidencia se observó en hombres, mayores de 60 años o que tenían comorbilidad (diabetes, dislipidemia e hipertensión)13. En nuestra investigación, solo dos de los cinco pacientes con hallazgos agudos en la TCC presentaron comorbilidad (hipertensión arterial y cardiopatía).

En cuanto a la encefalopatía y la encefalitis por dengue, no existe un consenso general sobre la diferencia entre ambas por presentar manifestaciones clínicas similares. Sin embargo, se considera encefalopatía por dengue aquella que asocia fiebre con disminución de la consciencia secundaria a shock, alteración metabólica, hipotensión, insuficiencia hepática o insuficiencia renal con resultados normales en el LCR. Por su parte, la encefalitis por dengue se define cuando la fiebre se asocia con signos agudos de afectación cerebral (reducción de la consciencia), en ausencia de cualquier anomalía metabólica u otra explicación; y además, en los pacientes que presenten pleocitosis en el LCR, signos neurológicos focales, convulsiones distintas de las convulsiones febriles simples, imágenes anormales compatibles con encefalitis y hallazgo de anticuerpos IgM contra el dengue o PCR positiva en el LCR2. En nuestra investigación identificamos dos casos que cumplían los criterios de encefalitis: dos varones fallecidos, uno de 25 años con edema cerebral difuso y el otro de 64 años con PCR positiva en LCR, este último sin hallazgos patológicos agudos en la TCC.

Uno de los cinco pacientes de nuestra investigación presentó lesiones en la TCC compatibles con encefalopatía necrotizante aguda. Esta es un tipo raro de encefalopatía aguda después de una enfermedad viral febril, con un rápido deterioro del nivel de consciencia, caracterizada por múltiples lesiones cerebrales bilaterales que afectan principalmente los tálamos, los putámenes, las cápsulas internas y externas, la sustancia blanca cerebelosa y el tronco encefálico. En estos casos es necesario descartar otras enfermedades con hallazgos similares en las neuroimágenes, tales como trombosis venosa cerebral, lesión hipóxico-isquémica y aquellas de origen metabólico14.

Respecto a la mortalidad, la presencia de lesiones agudas en la TCC se asoció con una alta mortalidad (80%) y un RR de 6,4. A diferencia de nuestros resultados, en un estudio retrospectivo realizado en tres hospitales de Taiwán durante los años 2014 y 2015, en el que se analizaron 182 TCC en pacientes con dengue y se identificaron 13 (7,14%) con hemorragias intracraneales y 26 (14,28%) con ACV isquémicos, los autores describen una mortalidad del 17,95%15. También, en una revisión crítica de la literatura se analizó la hemorragia intracraneal por dengue como causa de muerte, y los investigadores identificaron siete publicaciones que incluían 14 pacientes (93% hombres), todos con trombocitopenia y una mortalidad del 29%. En este grupo se hallaron 10 hematomas subdurales, tres epidurales y uno intraparenquimatoso9.

Desde una perspectiva clínica, no existen pautas claras sobre cuándo se debe solicitar una TCC en los pacientes con dengue. Sin embargo, se debe considerar ante cuadros clínicos que indiquen un alto índice de sospecha de lesión intracraneal, particularmente en pacientes con dengue con signos de alarma o dengue grave, que presenten cefalea intensa y repentina, vómitos persistentes asociados a fiebre, letargo o excitación, déficit neurológico agudo con debilidad o entumecimiento, mareos, alteración del sensorio con pérdida o reducción de la conciencia, rigidez de nuca, alteración de la conducta y convulsiones4,8,9,16. También debe solicitarse en aquellos pacientes con un índice de comorbilidad de Charlson > 415.

Un aspecto adicional a considerar, basándonos en nuestra experiencia y en la bibliografía consultada, es la utilidad de la TCC dada su disponibilidad en nuestro medio, ya que permite una rápida evaluación del endocráneo, en particular en pacientes en estado crítico o con alteración de la consciencia, y por su menor costo en comparación con otros métodos de imágenes como la RM9.

Por último, mencionamos las limitaciones del trabajo, que como toda investigación realizada con fuentes secundarias puede tener debilidades en el registro de ciertas variables clínicas o demográficas. Si bien este estudio intenta caracterizar las lesiones agudas en la TCC en pacientes con dengue, no todos fueron evaluados con estudios de imágenes, por lo que es posible que se haya subestimado la verdadera incidencia de los hallazgos en la TCC de la enfermedad. Asimismo, la imposibilidad de realizar exámenes de RM en nuestra institución impidió identificar lesiones no visibles en la TCC, debido a su menor sensibilidad, particularmente aquellas que involucran los ganglios de la base, los tálamos, el cerebelo, la corteza cerebral y la sustancia blanca7,17. Además, el pequeño tamaño de la muestra y el infrecuente compromiso del SNC por dengue pueden haber condicionado la detección de diferencias estadísticamente significativas, error tipo II, limitando el análisis de las asociaciones entre las variables registradas.

A pesar de ello, creemos que este trabajo proporciona datos locales valiosos sobre las complicaciones neurológicas del dengue, en un contexto de brote epidémico, llenando un vacío importante en la literatura regional. También resalta la necesidad de una vigilancia neurológica cuidadosa en los pacientes con dengue y el rol de las neuroimágenes como una importante herramienta en el manejo de los casos graves.

Conclusiones

La presencia de hallazgos agudos en la TCC fue diversa, y se asoció con categorías de dengue grave y alta mortalidad. Estos resultados señalan la utilidad de la TCC para el manejo y la monitorización de los pacientes con dengue grave y afección del SNC.

Agradecimientos

Los autores agradecen a los profesionales que colaboraron con el aporte de datos estadísticos y herramientas epidemiológicas para la realización de este estudio, especialmente al Dr. S. Genero (Departamento de Epidemiología) y a la Dra. S. Fernández-Lugo (Servicio de Infectología).

Financiamiento

Los autores declaran no haber recibido financiamiento para este estudio.

Conflicto de intereses

Los autores declaran no tener conflicto de intereses.

Consideraciones éticas

Protección de personas y animales. Los autores declaran que para esta investigación no se han realizado experimentos en seres humanos ni en animales.

Confidencialidad, consentimiento informado y aprobación ética. Los autores han seguido los protocolos de confidencialidad de su centro sanitario/institución para acceder a los datos de las historias clínicas. Se ha obtenido el consentimiento informado de los pacientes y se cuenta con la aprobación del Comité de Ética. Se han seguido las recomendaciones de las guías SAGER.

Declaración sobre el uso de inteligencia artificial. Los autores declaran que no se utilizó ningún tipo de inteligencia artificial generativa para la redacción ni la creación de contenido de este manuscrito.

Bibliografía

1. OPS/OMS. Dengue:Guías para la atención de enfermos en la región de las Américas. Segunda edición. Washington, USA:Organización Panamericana de la Salud, Oficina Sanitaria Panamericana:Oficina Regional de la Organización Mundial de la Salud;2016. Disponible en:https://www.paho.org/es/documentos/dengue-guias-para-atencion-enfermos-region-americas-2a-edicion

2. Kulkarni R, Pujari S, Gupta D. Neurological manifestations of dengue fever. Ann Indian Acad Neurol. 2021;(5):693-702.

3. Trivedi S, Chakravarty A. Neurological complications of dengue fever. Curr Neurol Neurosci Rep. 2022;(8):515-29.

4. Carod-Artal FJ, Wichmann O, Farrar J, Gascón J. Neurological complications of dengue virus infection. Lancet Neurol. 2013;12:906-19.

5. Li GH, Ning ZJ, Liu YM, Li XH. Neurological manifestations of dengue infection. Front Cell Infect Microbiol. 2017;7:449.

6. Ministerio de Salud de la Nación Argentina. Manual de normas y procedimientos de vigilancia y control de eventos de notificación obligatoria. Actualización 2022. Disponible en:https://www.argentina.gob.ar/sites/default/files/2019/10/msal-manual_de_normas_y_procedimientos_de_vigilancia_y_control_de_eno_2022.pdf

7. Vanjare HA, Mannam P, Mishra AK, Karuppusami R, Carey RAB, Abraham AM, et al. Brain imaging in cases with positive serology for dengue with neurologic symptoms:a clinicoradiologic correlation. AJNR Am J Neuroradiol. 2018;39:699-703.

8. Paz-Bailey G, Adams LE, Deen J, Anderson KB, Katzelnick LC. Dengue. Lancet. 2024;403:667-82.

9. Siahaan AMP, Tandean S, Nainggolan BWM, Tarigan J, Sitanggang JS. A critical analysis of intracranial hemorrhage as a fatal complication of dengue fever. J Korean Neurosurg Soc. 2023;(5):494-502.

10. Kumar R, Prakash O, Sharma BS. Intracranial hemorrhage in dengue fever:management and outcome:a series of 5 cases and review of literature. Surg Neurol. 2009;(4):429-33;discussion 433.

11. Bhoi SK, Naik S, Kumar S, Phadke RV, Kalita J, Misra UK. Cranial imaging findings in dengue virus infection. J Neurol Sci. 2014;342:36-41.

12. Gautam S, Meena RK, Meena SC, Gautam B. Retrospective analysis of prognostic factors in dengue infected patients with intracranial bleed. Surg Neurol Int. 2016;7(Suppl 39):S935-9.

13. Li HM, Huang YK, Su YC, Kao CH. Risk of stroke in patients with dengue fever:a population-based cohort study. CMAJ. 2018;190:E285-90.

14. Vanjare HA, Selvi BT, Karuppusami R, Manesh A, Gunasekaran K, Prabhakar AT, et al. Clinical and radiologic findings of acute necrotizing encephalopathy in young adults. AJNR Am J Neuroradiol. 2020;41:2250-4.

15. Chang K, Huang CH, Chen TC, Lin CY, Lu PL, Chen YH. Clinical characteristics and risk factors for intracranial hemorrhage or infarction in patients with dengue. J Microbiol Immunol Infect. 2021;54:885-92.

16. Sam JE, Gee TS, Nasser AW. Deadly intracranial bleed in patients with dengue fever:a series of nine patients and review of literature. J Neurosci Rural Pract. 2016;7:423-34.

17. Jugpal TS, Dixit R, Garg A, Gupta S, Jain V, Patel R, et al. Spectrum of findings on magnetic resonance imaging of the brain in patients with neurological manifestations of dengue fever. Radiol Bras. 2017;50:285-90.