Estimados Editores:
La enfermedad de Castleman es una afección hematológica y un trastorno linfoproliferativo heterogéneo raro. Se estima que tiene una incidencia aproximada de 1 por cada 100.000 pacientes. Fue descrita por primera vez por Benjamín Castleman en 1954. Se clasifica en enfermedad unicéntrica y multicéntrica1.
Presentamos el caso de un paciente con diagnóstico por imagen y confirmación por patología de subtipo unicéntrico que fue llevado a resección quirúrgica completa, y se descartó con tomografía por emisión de positrones (PET-TC) que tuviera compromiso multicéntrico, llevando al paciente a la curación completa de la enfermedad.
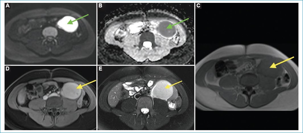
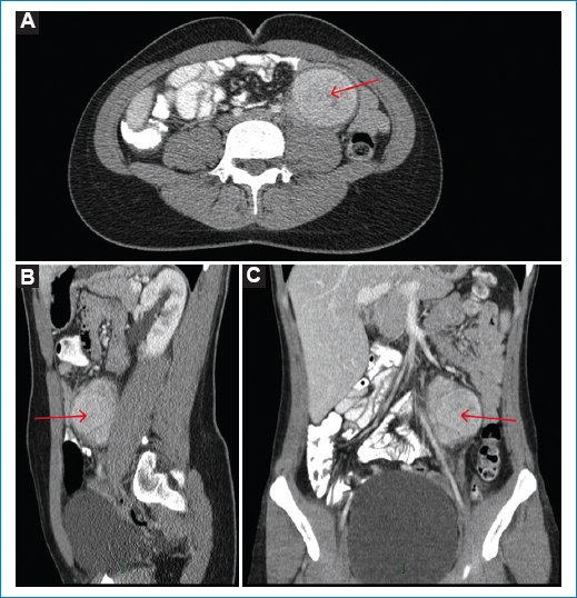
Se trata de una mujer de 25 años con antecedente de hipotiroidismo que consultó por una masa palpable en el mesogastrio, sin dolor ni otros síntomas gastrointestinales. Se realizó ecografía de abdomen que mostró una masa sólida, retroperitoneal, paraaórtica izquierda, adyacente al músculo psoas. Se complementó entonces con tomografía computada (TC) de abdomen contrastada, encontrando una masa de 8 × 5,6 cm, con realce homogéneo con el medio de contraste, sin zonas de necrosis ni calcificaciones, sin invadir las estructuras adyacentes y en estrecha relación con el músculo psoas (Fig. 1). Se solicitó una resonancia magnética (RM) contrastada para mejor caracterización. Dicha masa presentaba intensidad de señal homogénea, isointensa en T2, hipointensa en T1, con restricción a la difusión (alta señal en el DWI y baja señal en el ADC), y realce temprano homogéneo e intenso con el medio de contraste (Fig. 2), asociado a varios ganglios retroperitoneales. Se sugirió como primera posibilidad linfoma retroperitoneal. Se realizó biopsia y resección de ganglio retroperitoneal, con reporte de patología de enfermedad de Castleman hialinovascular.
Figura 1. TC de abdomen con contraste en fase venosa en plano axial (A), sagital (B) y coronal (C). Se observa una masa redonda, retroperitoneal, paraaórtica izquierda (flechas rojas), que mide 8 × 5.6 × 4.6 cm, adyacente al músculo psoas, con realce homogéneo con el medio de contraste, sin calcificaciones ni zonas de necrosis. No hay invasión de las estructuras adyacentes.
Figura 2. RM contrastada en secuencias DWI (A) y mapa ADC (B), T1 pre- y posgadolinio (C y D), y T2 con saturación grasa (E). La masa retroperitoneal tiene intensidad de señal homogénea, es hiperintensa en las secuencias ponderadas en T2 (E, flecha amarilla) e isointensa al músculo en las secuencias ponderadas en T1 precontraste con realce homogéneo con el gadolinio (C y D, flechas amarillas), y presenta marcada restricción de la difusión (A y B, flechas verdes).
La paciente fue llevada a resección quirúrgica de la masa y se descartó enfermedad multicéntrica por PET-TC con 18F-fluorodesoxiglucosa (18F-FDG) seis meses después del procedimiento quirúrgico (Fig. 3).
Figura 3. PET-TC con 18F-FDG. Desaparece la masa retroperitoneal izquierda por la resección quirúrgica, sin encontrar focos de aumento anormal del metabolismo glucídico. Se descarta enfermedad multicéntrica.
La enfermedad de Castleman ha tenido diferentes nombres a lo largo de los años, como hiperplasia angiofolicular, hiperplasia gigante de ganglios linfáticos, linfoma gigante benigno y hamartoma de ganglios linfáticos2.
Se clasifica en dos tipos: enfermedad de Castleman unicéntrica y multicéntrica; y según su patrón histológico, puede ser hialinovascular o de células plasmáticas. El tipo unicéntrico está localizado en un órgano y presenta mejor pronóstico. El multicéntrico afecta más de un órgano, causa síntomas inespecíficos y presenta mayor morbimortalidad. Aunque no se considera una lesión neoplásica, sí está asociada con mayor riesgo de desarrollar linfoma difuso de células B y sarcoma de Kaposi3.
Se tiene poco conocimiento acerca de su fisiopatología, pero en los últimos años se ha relacionado con el virus de la inmunodeficiencia humana, el virus herpes humano tipo 8 y otras infecciones o patologías, como el sarcoma de Kaposi. Se cree es por una hiperproliferación de linfocitos B provocada por la expresión de interleucina 6 que conlleva una diferenciación de células plasmáticas.
Se puede presentar a cualquier edad, aunque hay predominio en la tercera y la cuarta décadas de la vida, con mayor proporción de mujeres en el tipo unicéntrico, mientras que para el multicéntrico hay predilección por los pacientes en la quinta y sexta décadas de la vida, con mayor proporción en los hombres4.
Cuando aparece la enfermedad, afecta con mayor frecuencia a los ganglios linfáticos del cuello, el mediastino y el abdomen, y con menor frecuencia al pulmón, la laringe, la parótida y el páncreas5.
Las manifestaciones clínicas son variables y pueden ir desde una lesión localizada asintomática hasta linfadenopatías sistémicas generalizadas con síntomas graves. Generalmente hay presencia de síntomas B, como pérdida de peso, anorexia, diaforesis nocturna y fiebre sin foco; además, puede haber signos como masas palpables por adenopatías, esplenomegalia, hepatomegalia y con menor frecuencia anasarca. Dentro de los hallazgos de laboratorio es posible encontrar anemia, hipoalbuminemia y aumento de la velocidad de sedimentación. Su diagnóstico preoperatorio es difícil debido a que la clínica y los hallazgos radiológicos tienen características muy inespecíficas, y la punción con aguja fina suele ser insuficiente6.
Entre las imágenes diagnósticas, el método de referencia es la PET/CT con 18F-FDG por su alta avidez de captación7. Además, se puede complementar con biopsia del ganglio con la mayor captación de 18F-FDG. Por TC, los hallazgos destacan adenopatías difusas, homogéneas y que pueden tener calcificaciones (hallazgo que no es común en los linfomas). Pueden tener realce con el medio de contraste, de predominio en la periferia durante la fase arterial, y realce homogéneo durante la fase portal. Como hallazgos adicionales, puede observarse esplenomegalia o hepatomegalia8.
En la RM, el comportamiento de las lesiones es de intensidad de señal similar o hiperintensa respecto al músculo en las secuencias ponderadas en T1 y presentan realce con el gadolinio. En las secuencias ponderadas en T2 generalmente son hipointensas. En las secuencias de difusión tienen restricción a la difusión, con valores bajos en los mapas de ADC9.
En cuanto al tratamiento, la enfermedad unicéntrica se maneja con resección quirúrgica completa y es curativa en la mayoría de los casos. En la enfermedad multicéntrica, en general se requieren de tratamientos más agresivos, como radioterapia, quimioterapia y pautas de esteroides9.
En el caso de nuestra paciente, sigue en controles con hematología posterior a la resección quirúrgica. Se descartó compromiso por virus herpes humano tipo 8 y compromiso multicéntrico con PET-TC con 18F-FDG 6 meses después del tratamiento quirúrgico (Fig. 3). Está asintomática y con curación de la enfermedad.
En conclusión, la enfermedad de Castleman es un trastorno linfoproliferativo raro, que puede tener múltiples manifestaciones clínicas, desde ser un hallazgo incidental en un paciente asintomático hasta provocar numerosos síntomas y compromiso sistémico. Los hallazgos por imágenes en TC, PET-TC y RM deben ser conocidos y correctamente interpretados para, junto con el clínico, llegar a un diagnóstico certero y un tratamiento multidisciplinario, evitando así tratamientos sistémicos innecesarios y mejorando el pronóstico y la calidad de vida de los pacientes.
Financiamiento
Los autores declaran no haber recibido financiamiento para este estudio.
Conflicto de intereses
Los autores declaran no tener conflicto de intereses.
Consideraciones éticas
Protección de personas y animales Los autores declaran que para esta investigación no se han realizado experimentos en seres humanos ni en animales.
Confidencialidad, consentimiento informado y aprobación ética. Los autores han seguido los protocolos de confidencialidad de su centro sanitario/institución para acceder a los datos de las historias clínicas. Se ha obtenido el consentimiento informado de la paciente y se cuenta con la aprobación del Comité de Ética. Se han seguido las recomendaciones de las guías SAGER.
Declaración sobre el uso de inteligencia artificial. Los autores declaran que se utilizó ningún tipo de inteligencia artificial generativa para la redacción ni la creación de contenido de este manuscrito.
