Valoración mediante resonancia magnética del hidrops endolinfático en la enfermedad de Ménière

Valoración mediante resonancia magnética del hidrops endolinfático en la enfermedad de Ménière

Romina Goñi 1, M. Silvina Abraham 1, Alfredo Lafue 2, María Mac-Adden 2, Claudia Cejas 3

1 Departamento de Diagnóstico por Imágenes, Fundación contra la Lucha de Enfermedades Neurológicas (FLENI), Buenos Aires, Argentina; 2 Servicio de Neurootología, Fundación contra la Lucha de Enfermedades Neurológicas (FLENI), Buenos Aires, Argentina; 3 Departamento de Diagnóstico por Imágenes, Fleni, Buenos Aires, Argentina

*Correspondencia: Claudia Cejas. Email: ccejas@fleni.org.ar

Fecha de recepción: 07-11-2023

Fecha de aceptación: 13-05-2024

DOI: 10.24875/RAR.23000109

Disponible en internet: 12-11-2024

Rev Argent Radiol. 2025;89(4):231-238

Resumen

El laberinto membranoso es una estructura ubicada dentro de la cápsula ótica, que está formado por un conjunto de vesículas y conductos que contienen endolinfa y que conforman un sistema cerrado de circulación de líquido, separado de la perilinfa que lo rodea. El hidrops endolinfático (HE) es la distensión de los compartimentos endolinfáticos del oído interno, con afectación tanto de la cóclea como del vestíbulo, hallazgo que se considera el sello patológico de la enfermedad de Ménière; sin embargo, también podría observarse en otros trastornos otológicos con síntomas similares. La visualización de HE se ha logrado mediante resonancia magnética con secuencia FLAIR optimizada para la valoración del oído interno, realizada a las cuatro horas de la inyección del contraste intravenoso; método que se ha convertido en una técnica confiable para demostrar y clasificar el HE. El objetivo de este ensayo iconográfico es presentar, mediante la secuencia FLAIR, los hallazgos normales del laberinto, así como las diferentes maneras de valorar el HE, para lo cual se utilizan casos de nuestra institución.

Palabras clave:  Hidrops endolinfático. Resonancia magnética. Enfermedad de Ménière.

Contenido

Id previo:  152

Introducción

El laberinto membranoso es una estructura ubicada dentro de la cápsula ótica en la porción petrosa del hueso temporal, formado por un conjunto de vesículas y conductos que contienen en su interior endolinfa. Conforma un sistema cerrado de circulación de líquido, que está separado de la perilinfa que lo rodea, quedando a su vez conformados en su interior los órganos de la audición y del equilibrio del organismo13. El hidrops endolinfático (HE) es la distensión de estos compartimentos endolinfáticos en el oído interno4,5 y desde la década de 1930 se conoce como un marcador histopatológico en pacientes con enfermedad de Ménière (EM)68.

La etiología del HE permanece aún desconocida, pero se han propuesto varias teorías. Es conocido que la hidropesía refleja los cambios en la anatomía del laberinto membranoso como consecuencia de la sobreacumulación de endolinfa. Por lo tanto, las posibles causas de la hidropesía incluyen una sobreproducción o una disminución en la absorción de endolinfa. Algunos autores sugieren que las causas son multifactoriales, involucrando una serie de mecanismos patogénicos911.

El diagnóstico de EM se basa en los criterios propuestos por la American Academy of Otolaryngology-Head and Neck Surgery12 y la Bárány Society13. Estos criterios diagnósticos consideran manifestaciones clínicas debido a la falta de medidas claras y objetivas para confirmar la EM.

Numerosas publicaciones sostienen que la resonancia magnética (RM) es un método útil para el diagnóstico de EM en la mayoría de los pacientes mediante la visualización in vivo de HE1423; sin embargo, este puede estar presente en otros procesos patológicos, cuyo estudio excede el objetivo del presente trabajo2325.

Se han utilizado diferentes secuencias de RM y otros métodos otoneurológicos para determinar y clasificar el HE2636. Según Gurkov37, como resultado de la experiencia clínica y de la visualización de imágenes en pacientes con síntomas de trastornos del oído interno, se desarrolló el concepto de enfermedad del oído hidrópico, un cambio de paradigma de una clasificación basada en síntomas a una basada en imágenes radiológicas. Es así que establece dos categorías de acuerdo con su etiología: HE primario, cuando no se encuentra una causa identificable; y HE secundario, cuando es causado por enfermedades subyacentes del oído interno que son identificables mediante las imágenes. Como detallaremos más adelante, las secuencias optimizadas de recuperación de la inversión atenuada de fluido tridimensional (3D-FLAIR) luego de cuatro horas de la administración intravenosa de gadolinio (Gd) son las más utilizadas hasta el momento para el diagnóstico y la valoración del grado de HE, ya que permiten la visualización discriminada entre la endolinfa y la perilinfa, y por tanto su caracterización38.

Conceptos anatómicos

El conducto auditivo interno contiene el nervio facial, el nervio vestibulococlear, el nervio intermedio y la arteria laberíntica. El nervio vestibulococlear sale del tronco del encéfalo como un solo nervio ubicado posterosuperior al nervio facial para luego dividirse en los nervios coclear superior y vestibular cerca del poro acústico. Un asa de la arteria cerebelosa anteroinferior también ingresa al conducto auditivo interno en el 20-40% de los individuos, lo cual generalmente no tiene importancia clínica39.

La cápsula ótica está compuesta por el hueso temporal denso, que forma la estructura del oído interno y se segmenta en los canales semicirculares, el vestíbulo y la cóclea. Esta cápsula ósea contiene el laberinto membranoso, que está formado por conductos y sacos que contienen endolinfa, los cuales están separados del hueso circundante por líquido perilinfático. Dentro del vestíbulo óseo hay dos sacos membranosos que contienen líquido endolinfático. Uno de ellos se denomina utrículo y suele ser la estructura más grande, aunque varía en tamaño. Se encuentra posterosuperior al nivel axial del conducto semicircular lateral. Junto con los conductos semicirculares, forma parte de la pars superioris. El otro, denominado sáculo, es más pequeño y se encuentra anteroinferior en la pared medial del vestíbulo.

Dentro de los canales semicirculares hay conductos con los mismos nombres. Los conductos semicirculares superior y lateral están inervados por el nervio vestibular superior, mientras que el canal semicircular posterior está inervado por el nervio vestibular inferior. Los conductos presentan una dilatación focal en un extremo, en una región denominada ampolla.

La cóclea está formada por la escala media o conducto coclear, que contiene endolinfa, bordeado por dos canales con líquido perilinfático, llamados escala timpánica y escala vestibular. La escala media se encuentra entre estas estructuras, bordeada por la membrana de Reissner ventralmente, la membrana basilar dorsalmente y el ligamento espiral y la cápsula ótica lateralmente4043 (Fig. 1).

Figura 1. Representación esquemática del laberinto. CSC: canal semicircular; N: nervio.

Conceptos clínicos

La EM es una enfermedad idiopática del oído interno, multifactorial, que lleva el nombre del médico francés Prosper Ménière, descrita por primera vez en 1861.

Los síntomas clínicos de la EM son vestibulares, de vértigo recurrente, asociados a síntomas auditivos típicamente fluctuantes de hipoacusia neurosensorial de baja frecuencia, acúfenos o plenitud aural. Suele presentarse con síntomas unilaterales, pero es probable que la afectación bilateral se desarrolle en el 22-65% de los casos dentro de los 5-10 años posteriores44.

Técnica de estudio

De forma retrospectiva revisamos 362 estudios de RM con protocolo de hidrops, con un total de 724 laberintos. Se utilizó un equipo 3T (Discovery 750, GE, Wisconsin, USA) con bobina de cerebro de 32 canales de recepción para maximizar la relación señal/ruido. Primero se realizó un examen dedicado al oído sin contraste y tras la administración de Gd se obtuvo una secuencia volumétrica T1 del oído interno y de todo el cerebro. Luego de 4 h de la inyección (sin exceder 3,5-4,5 h) se adquirió la secuencia de hidrops. Para la obtención de imágenes de hidrops se utilizó la secuencia 3D-FLAIR, que es una técnica de inversión-recuperación que tras la inyección de contraste intravenoso (Gd) permite la anulación selectiva del espacio endolinfático. De esta manera se genera una imagen en la que se puede diferenciar la endolinfa, de señal hipointensa, de la perilinfa, de señal hiperintensa (realzada con Gd), mientras que el hueso circundante muestra una intensidad de señal similar a la endolinfa (Fig. 2). Las variaciones en el tiempo de inversión influyen en el tamaño aparente de las estructuras endolinfáticas, y por ello es recomendable que sea entre 2000 y 2500 ms45. Debido al pequeño calibre de las estructuras endolinfáticas, aplicamos un grosor de corte de 0,8 mm. Las secuencias de hidropesía se obtuvieron en el plano axial paralelo al canal semicircular lateral y se interpretaron junto con una secuencia 3D fuertemente ponderada en T2 del oído interno como referencia del espacio total de líquido del laberinto. Los tiempos de exploración para la secuencia 3D-FLAIR fueron de aproximadamente 8-9 min aplicando ángulos de inversión variables. Los parámetros de la secuencia 3D-FLAIR pueden variar y se resumen en la table 1.

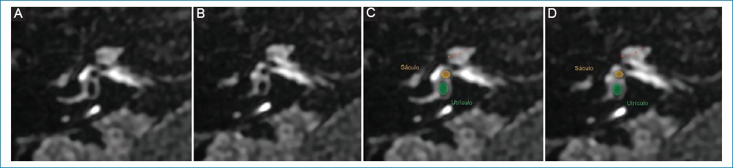
Figura 2. (A y B) Cóclea y vestíbulo normal; representación esquemática en C y D. A nivel coclear (puntos naranjas), la escala media o conducto coclear suele ser mínimamente visible; a nivel vestibular, el sáculo y el utrículo ocupan menos del 50% del área total del vestíbulo membranoso, siendo el sáculo (círculo amarillo) de menor tamaño que el utrículo (círculo verde).

Tabla 1. Protocolo de estudio de HE en un equipo de RM 3T

Parámetros 3D FLAIR
Canales 32
TE (ms) 160
TR (ms) 9500
TI (ms) 2200
FOV 15 × 15
Matriz 212 × 212
NEX 4
Tamaño vóxel (mm) 0,7 × 0,7 × 0,8
Ángulo volteo Variable
Duración (min) 7-8

FOV: campo de visión; NEX: número de excitaciones; TE: tiempo de eco; TI: tiempo de inversión; TR: tiempo de repetición.

Clasificación del hidrops endolinfático

Para caracterizar el HE utilizamos la clasificación descrita por Bernaerts et al.46 en el año 2019, quienes propusieron cuatro grados de hidrops vestibular y tres grados de hidrops coclear según la gravedad de la afectación47.

A continuación, haremos una descripción detallada de los diferentes grados de HE siguiendo la clasificación de Bernaerts, mediante una serie de casos clínicos de nuestra institución.

Resonancia magnética en hidrops coclear

Paciente 1

Mujer de 17 años, con diagnóstico clínico de enfermedad de Ménière en oído derecho, medicada con betahistina y acetazolamida hace tres meses.

Se realizó RM de cerebro con protocolo para hidrops, observándose hallazgos sugestivos de hidrops coclear derecho de grado I (Fig. 3).

Figura 3. (A, B y C) Hidrops coclear de grado I: dilatación nodular de la escala media, vistas de superior a inferior; representación esquemática en D, E y F.

Paciente 2

Varón de 76 años que presenta hipoacusia del oído izquierdo y vértigo de un año de evolución. No estaba medicado. En la RM con protocolo de hidrops se evidenció una escala vestibular completamente obliterada debido a la distensión del conducto coclear, que se interpretó como hidrops coclear de grado II (Fig. 4).

Figura 4. (A, B y C) Hidrops coclear de grado II: dilatación en banda de la escala media, vistas de superior a inferior; representación esquemática en D, E y F.

Resonancia magnética en hidrops vestibular

Paciente 3

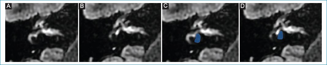
Varón de 52 años con acufenos pulsátiles en el oído derecho y vértigo episódico. No tomaba medicación. La RM mostró hallazgos coincidentes con hidrops vestibular de grado I (Fig. 5).

Figura 5. (A y B) Hidrops vestibular de grado I: dilatación del sáculo, vistas de superior a inferior; representación esquemática en C y D.

Paciente 4

Varón de 59 años que concurrió a la guardia por vértigo de más de un mes de evolución, hipoacusia del oído derecho, sensación de oído tapado y zumbidos aislados. Los síntomas habían aumentado de frecuencia en los últimos días. La RM evidenció hallazgos compatibles con hidrops vestibular de grado II (Fig. 6).

Figura 6. Hidrops vestibular de grado II: dilatación del sáculo y del utrículo con confluencia de ambos, persistiendo un fino realce perilinfático periférico, (A y B) vistas de superior a inferior; representación esquemática en C y D.

Paciente 5

Mujer de 49 años que presenta hipoacusia en el oído derecho y crisis de vértigo de cinco años de evolución, que se fueron incrementando en frecuencia. La RM con protocolo de hidrops mostró borramiento total de las estructuras vestibulares, tal como se describe en pacientes con hidrops vestibular de grado III (Fig. 7).

Figura 7. (A y B) Hidrops vestibular de grado III: dilatación del sáculo y del utrículo, con confluencia de ambos, y pérdida del reborde perilinfático, vistas de superior a inferior; representación esquemática en C y D.

Hallazgos asociados en la enfermedad de Ménière

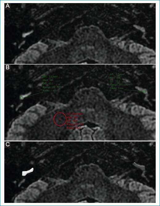
Realce perilinfático

Además del HE, numerosos estudios de imágenes han informado un mayor realce perilinfático luego del contraste intravenoso, con respecto al oído contralateral sano, en los oídos afectados de pacientes con EM (Fig. 8), que representa un deterioro de la barrera hematolaberíntica. Sin embargo, la observación de deterioro de la barrera hematolaberíntica en la RM no es exclusiva de la EM, ya que se han informado hallazgos similares en la neuritis vestibular, la pérdida auditiva neurosensorial súbita y el schwannoma vestibular, entre otros22.

Figura 8. (A y B) Realce perilinfático aumentado en el giro basal de la cóclea derecha; representación esquemática en C.

Por lo tanto, el aumento de la intensidad de la señal de la perilinfa por sí solo no es específico. No obstante, la combinación de HE (mayormente vestibular) evaluado mediante la clasificación de Bernaerts y realce de la barrera hematolaberíntica muestra una sensibilidad del 85% y una especificidad del 92% para el diagnóstico de EM. Dichos hallazgos en conjunto tienen especial relevancia en pacientes cuya clínica atípica dificulta el diagnóstico definitivo, como es el caso de la probable EM22,46,47.

Sáculo no visible

Eliezer et al.48 reportaron la no visualización del sáculo en un subgrupo de pacientes con EM. Se ha planteado la hipótesis de que el mecanismo subyacente sea un colapso o una fístula del sáculo, lo que permite, al inyectar contraste intravenoso, una mezcla de endolinfa y perilinfa.

Conclusión

El HE es considerado el sello patognomónico de la EM. La RM en secuencia 3D-FLAIR con contraste diferido se ha convertido en la técnica de imagen de elección para demostrar y clasificar el HE.

Agradecimientos

Los autores agradecen a la Arq. Amelia Bernardo por el diseño de la figura 1.

Financiamiento

Los autores declaran no haber recibido financiamiento para este trabajo.

Conflicto de intereses

Los autores declaran no tener conflicto de intereses.

Responsabilidades éticas

Protección de personas y animales. Los autores declaran que para esta investigación no se han realizado experimentos en seres humanos ni en animales.

Confidencialidad de los datos. Los autores declaran que en este artículo no aparecen datos de pacientes. Además, los autores han reconocido y seguido las recomendaciones según las guías SAGER dependiendo del tipo y naturaleza del estudio.

Derecho a la privacidad y consentimiento informado. Los autores declaran que en este artículo no aparecen datos de pacientes.

Uso de inteligencia artificial para generar textos. Los autores declaran que no han utilizado ningún tipo de inteligencia artificial generativa en la redacción de este manuscrito ni para la creación de figuras, gráficos, tablas o sus correspondientes pies o leyendas.

Bibliografía

1. Lane JI, Witte B, Bernstein MA, Jhonson K, Morris J. State of the art:3T imaging of the membranous labyrinth. AJNR Am J Neuroradiol. 2008;29:1436-49.

2. Shambaugh GE. The development of the membranous labyrinth. Arch Otolaryngol. 1926;3:233-6.

3. Lane JI, Witte RJ, Henson OW, Driscoll CL, Camp J, Robb RA. Imaging microscopy of the middle and inner ear:Part II:MR microscopy. Clin Anat. 2005;18:409-15.

4. Schuknecht HF, Gulya AJ. Endolymphatic hydrops. An overview and classification. Ann Otol Rhinol Laryngol Suppl. 1983;106:1-20.

5. Kimura RS, Schuknecht HF. Membranous hydrops in the inner ear of the guinea pig after obliteration of the endolymphatic sac. Pract Otorhinolaryng. 1965;27:343-54.

6. Yamakawa K. Hearing organ of a patient who showed Ménière's symptoms. J Otolaryngol Soc Jpn. 1938;44:2310-2.

7. Hallpike CS, Cairns H. Observations on the pathology of Ménière's syndrome. J Laryngol Otol Neurotol. 1938;53:625-55.

8. Schuknecht HF. Ménière's disease, pathogenesis and pathology. Am J Otolaryngol. 1982;3:349-52.

9. Cureoglu S, Da Costa Monsanto R, Paparella MM. Histopathology of Ménière's disease. Oper Tech Otolayngol Head Neck Surg. 2016;27:194-204.

10. Paparella MM. Pathogenesis and pathophysiology of Ménière's disease. Acta Otolaryngol Suppl. 1991;485:26-35.

11. Salt AN, Plontke SK. Endolymphatic hydrops:pathophysiology and experimental models. Otolaryngol Clin North Am. 2010;43:971-83.

12. Committee on Hearing and Equilibrium. Committee on Hearing and Equilibrium guidelines for the diagnosis and evaluation of therapy in Menière's disease. American Academy of Otolaryngology-Head and Neck Foundation, Inc. Otolaryngol Head Neck Surg. 1995;113:181-5.

13. López-Escamez JA, Carey J, Chung W, Goebel J, Magnusson M, MandaláM, et al. Diagnostic criteria for Ménière's disease. J Vestib Res. 2015;25:1-7.

14. Nakashima T, Naganawa S, Sugiura M, Teranishi M, Sone M, Hayashi H, et al. Visualization of endolymphatic hydrops in patients with Ménière's disease. Laryngoscope. 2007;117:415-20.

15. Nakashima T, Naganawa S, Teranishi M, Tagaya M, Nakata S, Sone M, et al. Endolymphatic hydrops revealed by intravenous gadolinium injection in patients with Ménière's disease. Acta Otolaryngol. 2010;130:338-43.

16. Naganawa S, Nakashima T. Visualization of endolymphatic hydrops with MR imaging in patients with Ménière's disease and related pathologies:current status of its methods and clinical significance. Jpn J Radiol. 2014;32:191-204.

17. Pyykko I, Zou J, Poe D, Nakashima T, Naganawa S. Magnetic resonance imaging of the inner ear in Ménière's disease. Otolaryngol Clin N Am. 2010;43:1059-80.

18. Yoshida T, Sugimoto S, Teranishi M, Otake H, Yamazaki M, Naganawa S, et al. Imaging of the endolymphatic space in patients with Ménière's disease. Auris Nasus Larynx. 2018;45:33-8.

19. Niyazov DM, Andrews JC, Strelioff D, Sinha S, Lufkin R. Diagnosis of endolymphatic hydrops in vivo with magnetic resonance imaging. Otol Neurotol. 2001;22:813-7.

20. Gurkov R, Flatz W, Louza J, Strupp M, Krause E. In vivo visualization of endolymphatic hydrops in patients with Ménière's disease:correlation with audiovestibular function. Eur Arch Otorhinolaryngol. 2011;268: 1743-8.

21. Cho YS, Kim JS, Kim MB, Koh SM, Lee ChH, Kim Y, et al. Validation of inner ear MRI in patients with Ménière's disease by comparing endolymphatic hydrops from histopathologic specimens. Sci Rep. 2021;11:17738.

22.  Steekelenburg JM, van Weijnen A, de Pont LM, Vijlbrief OD, BommeljéCC, Koopman JP, et al. Value of endolymphatic hydrops and perilymph signal intensity in suspected Ménière disease. AJNR Am J Neuroradiol. 2020;41:529-34.

23. Attye A, Eliezer M, Galloux A, Pietras J, Tropres I, Schmerber S, et al. Endolymphatic hydrops imaging:differential diagnosis in patients with Ménière disease symptoms. Diagn Interv Imaging. 2017;98:699-706.

24. Lin KT, Lu CJ, Young YH. Magnetic resonance imaging:role on diagnosing all types of endolymphatic hydrops. J Formos Med Assoc. 2022;121:1325-33.

25. Sone M, Yoshida T, Sugimoto S, Kobayashi M, Teranishi M, Naganawa S. Pathological significance and classification of endolymphatic hydrops in otological disorders. Nagoya J Med Sci. 2022;84:497-505.

26. Naganawa S, Yamazaki M, Kawai H, Bokura K, Sone M, Nakashima T. Visualization of endolymphatic hydrops in Ménière's disease with single-dose intravenous gadolinium-based contrast media using heavily T2-weighted 3D-FLAIR. Magn Reson Med Sci. 2010;9:237-42.

27. Naganawa S, Satake H, Kawamura M, Fukatsu H, Sone M, Nakashima T. Separate visualization of endolymphatic space, perilymphatic space and bone by a single pulse sequence;3D-inversion recovery imaging utilizing real reconstruction after intratympanic Gd-DTPA administration at 3 Tesla. Eur Radiol. 2008;18:920-4.

28. Suzuki H, Teranishi M, Sone M, Yamazaki M, Naganawa S, Nakashima T. Contrast enhancement of the inner ear after intravenous administration of a standard or double dose of gadolinium contrast agents. Acta Otolaryngol. 2011;131:1025-31.

29. Nakashima T, Naganawa S, PyykköI, Gibson WP, Sone M, Nakata S, et al. Grading of endolymphatic hydrops using magnetic resonance imaging. Acta Otolaryngol. 2009;129:5-8.

30. Naganawa S, Kawai H, Taoka T, Sone M. Improved hydrops:imaging of endolymphatic hydrops after intravenous administration of gadolinium. Magn Reson Med Sci. 2017;16:357-61.

31. Baráth K, Schuknecht B, Monge Naldi A, Schrepfer T, Bockisch CJ, Hegemann SCA. Detection and grading of endolymphatic hydrops in Menière disease using MR imaging. AJNR Am J Neuroradiol. 2014; 35:1387-92.

32. AttyéA, Eliezer M, Boudiaf N, Tropres I, Chechin D, Schmerber S, et al. MRI of endolymphatic hydrops in patients with Ménière's disease:a case-controlled study with a simplified classification based on saccular morphology. Eur Radiol. 2017;27:3138-46.

33. Simon F, Guichard JP, Kania R, Franc J, Herman P, Hautefort C. Saccular measurements in routine MRI can predict hydrops in Menière's disease. Eur Arch Otorhinolaryngol. 2017;274:4113-200.

34. Conte G, Caschera L, Calloni S, Barozzi S, Di Berardino F, Zanetti D, et al. MR imaging in Menière disease:is the contact between the vestibular endolymphatic space and the oval window a reliable biomarker?AJNR Am J Neuroradiol. 2018;39:2114-9.

35. Conte G, Lo Russo FM, Calloni SF, Sina C, Barozzi S, Di Berardino, et al. MR imaging of endolymphatic hydrops in Ménière's disease:not all that glitters is gold. Acta Otorhinolaryngol Ital. 2018;38:369-76.

36. Kheok SW, Chan YM, Chan LL. Imaging of endolymphatic hydrops in Ménière's disease:a clinical update. Ann Acad Med Singap. 2020;49: 1018-24.

37. Gurkov R. Ménière and friends:imaging and classification of hydropic ear disease. Otol Neurotol. 2017;38:539-44.

38. Naganawa S. The technical and clinical features of 3D-FLAIR in neuroimaging. Magn Reson Med Sci. 2015;14:93-106.

39. Benson JC, Carlson ML, Lane JI. MRI of the internal auditory canal, labyrinth, and middle ear:how we do it. Radiology. 2020;297:252-65.

40. Morita N, Lariya S, Deroee AF, Cureoglu S, Nomiya S, Harada T, et al. Membranous labyrinth volumes in normal ears and Ménière disease:a three-dimensional reconstruction study. Laryngoscope. 2009;119:2216-20.

41. Conte G, Caschera L, Tuscano B, Piergallini L, Barozzi S, Di Berardino F, et al. Three-Tesla magnetic resonance imaging of the vestibular endolymphatic space:a systematic qualitative description in healthy ears. Eur J Radiol. 2018;109:77-82.

42. Van der Jagt MA, Brink WM, Versluis MJ, Steens SC, Briaire JJ, Webb AG, et al. Visualization of human inner ear anatomy with high-resolution MR imaging at 7T:initial clinical assessment. AJNR Am J Neuroradiol. 2015;36:378-83.

43. Van Egmond SL, Visser F, Pameijer FA, Grolman W. Ex vivo and in vivo imaging of the inner ear at 7 Tesla MRI. Otol Neurotol. 2014;35:725-9.

44. Ménière P. Sur une forme de surditégrave dépendant d'une lésion de l'oreille interne. Gaz Med de Paris. 1861;16:29.

45. Eliezer M, Gillibert A, Tropres I, Krainik A, AttyéA. Influence of inversion time on endolymphatic hydrops evaluation in 3D-FLAIR imaging. J Neuroradiol. 2017;44:339-43.

46. Bernaerts A, Vanspauwen R, Blaivie C, van Dinther J, Zarowski A, Wuyts FL, et al. The value of four stage vestibular hydrops grading and asymmetric perilymphatic enhancement in the diagnosis of Menière's disease on MRI. Neuroradiology. 2019;61:421-9.

47. Pont LM, van Steekelenburg JM, Verbist BM, van Buchem MA, Bloom HM, Hammer S. State of the art imaging in Menière's disease. Tips and tricks for protocol and interpretation. Curr Radiol Rep. 2020;8:25.

48. Eliezer M, Poillon G, Lévy D, Guichard JP, Toupet M, Houdart E, et al. Clinical and radiological characteristics of patients with collapse or fistula of the saccule as evaluated by inner ear MRI. Acta Otolaryngol. 2020;140:262-9.