Ganglioneuroma como diagnóstico diferencial de lesiones del espacio carotídeo: reporte de caso

Ganglioneuroma como diagnóstico diferencial de lesiones del espacio carotídeo: reporte de caso

Antonio C. Luque-Ambrosiani 1, Soledad Flores-Fernández 2

1 Servicio de Neurología, Hospital Universitario Virgen del Rocío, Sevilla, España; 2 Servicio de Radiodiagnóstico, Hospital Universitario Virgen Macarena, Sevilla, España

*Correspondencia: Antonio C. Luque-Ambrosiani. Email: luqueambrosiani@gmail.com

Fecha de recepción: 17-12-2023

Fecha de aceptación: 11-09-2024

DOI: 10.24875/RAR.23000116

Disponible en internet: 17-02-2025

Rev Argent Radiol. 2025;89(4):246-248

Contenido

Id previo:  168

Estimados Editores:

El ganglioneuroma es una tumoración neurogénica benigna procedente de las células nerviosas del sistema autónomo simpático de escasa frecuencia. La localización más frecuente es la médula adrenal. Entre las lesiones del espacio carotídeo suprahioideo, es una de las más raras1. Su hallazgo más frecuente es una lesión hipodensa relativamente homogénea y bien definida con realce irregular en la tomografía computada (TC). Su tratamiento es la cirugía resectiva, con muy buen pronóstico2,3.

Presentamos un caso de un ganglioneuroma en un paciente de mediana edad con sospecha inicial de adenopatías tumorales cervicales en la exploración física, planteándose posteriormente un paraganglioma en la ecografía y finalmente enfocándose como tumor de la cadena simpática cervical gracias a los hallazgos en la TC.

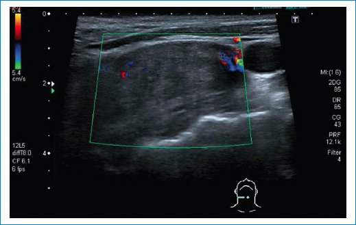
Se trata de un varón de 57 años, fumador, cuyo médico de familia aprecia a inicios de agosto de 2023 adenopatías cervicales derechas en aumento de varios meses de evolución, de consistencia media, no adheridas a planos profundos e indoloras. Es valorado por otorrinolaringología (ORL) con nasofibrolaringoscopia, en la que se aprecia abombamiento de la rinofaringe derecha, y se solicita ecografía cervical que identifica una masa sólida situada a la altura y por encima de la bifurcación carotídea, enfocándose como un paraganglioma (Fig. 1). Al ver los resultados, por parte de ORL se solicita TC.

Figura 1. Imagen tomada en plano horizontal por encima de la bifurcación carotídea mediante ecografía con modo Doppler color. Se aprecia una lesión ligeramente hipoecoica, relativamente homogénea, con vascularización periférica.

En la TC de cuello con contraste, realizada en septiembre de 2023, se identifica una tumoración sólida isodensa con tejido muscular, fusiforme, de 7 cm de diámetro craneocaudal, en el espacio carotídeo derecho, sin infiltración de estructuras vecinas, con discreto abombamiento de la pared faríngea derecha (Fig. 2A). A su vez, se aprecia realce focal en su región superior, sin necrosis (Fig. 2B). La lesión muestra un patrón de desplazamiento de las estructuras vasculares del espacio carotídeo, con desplazamiento lateral y posterior de la arteria carótida interna y la vena yugular interna (Fig. 2C y D), lo que orienta a la posibilidad de un schwannoma de la cadena simpática y no de un paraganglioma.

Figura 2. (A) TC, plano axial a nivel suprahioideo, en la que se observa una lesión ligeramente hipodensa y mayoritariamente homogénea, sin infiltración local, en el espacio carotídeo derecho. (B) TC, plano parasagital, que muestra una morfología fusiforme y ausencia de realce en la mayor parte de la lesión, salvo la porción craneal. (C y D) Desplazamiento de estructuras vasculares (cárotida interna y yugular interna derechas) hacia lateral y posterior a nivel más craneal respecto a A y B.

Se decide intervención quirúrgica, en la que se realiza la resección completa de la lesión, a mediados de septiembre de 2023. Tras la operación, el paciente presentó un síndrome de Horner y paresia del XII par craneal derechos. En la anatomía patológica se confirmó una tumoración de la cadena simpática, pero en lugar de un schwannoma se identificó un ganglioneuroma. Hasta el momento actual, no hay datos de recidiva.

Las lesiones del espacio carotídeo suprahioideo pueden afectar a cualquiera de las estructuras que este contiene, como la arteria carótida interna, la vena yugular interna, los nervios craneales IX, X, XI y XII, el asa cervical, el plexo simpático y los ganglios linfáticos cervicales profundos (Fig. 3)1.

Figura 3. Espacio carotídeo derecho normal y su alteración en caso de ganglioneuroma. Se muestra el contenido de este y las distintas partes de la vaina carotídea que lo contiene, así como el patrón de desplazamiento de estas estructuras por la tumoración. C: carótida; Y: yugular; IX, X, XI y XII: pares craneales bajos.

El conocimiento de la anatomía radiológica es fundamental para estrechar el diagnóstico diferencial e incluso acotarlo a una afección concreta. Una de las claves para ello es estudiar el patrón de desplazamiento de las estructuras vasculares contenidas en dicho espacio. En los casos en que la arteria carótida interna se encuentre desplazada anteriormente y la vena yugular interna hacia posterior y lateral, debe sospecharse la presencia de un glomus vagal. En cambio, si se aprecia que hay una separación mayor entre la arteria carótida interna y la externa hay que pensar más bien en un glomus carotídeo1.

Otro posible hallazgo es el desplazamiento de ambas estructuras hacia atrás y de forma lateral, como en nuestro caso, que lleva a sospechar una tumoración que afecte a la cadena simpática cervical. Por frecuencia, lo primero en que se pensará será un schwannoma de los nervios simpáticos cervicales, aunque también puede encontrarse un ganglioneuroma de estos, siendo la diferenciación entre ambos histopatológica14.

En nuestro caso, el diagnóstico sirvió para dirigir la intervención quirúrgica de forma proporcionada a la sospecha, y avisar al paciente de los riesgos que esta conllevaba, con lo que pudo tomar una decisión adecuadamente informada.

Agradecimientos

Los autores agradecen a L.M. López-Navarro por obtener el consentimiento informado del paciente de forma desinteresada.

Financiamiento

Los autores declaran no haber recibido financiamiento para este trabajo.

Conflicto de intereses

Los autores declaran no tener conflicto de intereses.

Consideraciones éticas

Protección de personas y animales. Los autores declaran que para esta investigación no se han realizado experimentos en seres humanos ni en animales.

Confidencialidad, consentimiento informado y aprobación ética. Los autores han seguido los protocolos de confidencialidad de su institución, han obtenido el consentimiento informado del paciente y cuentan con la aprobación del Comité de Ética. Se han seguido las recomendaciones de las guías SAGER, según la naturaleza del estudio.

Declaración sobre el uso de inteligencia artificial. Los autores declaran que no utilizaron ningún tipo de inteligencia artificial generativa para la redacción de este manuscrito.

Bibliografía

1. Chengazi HU, Bhatt AA. Pathology of the carotid space. Insights Imaging. 2019;10:21.

2. Saadat S, Fritz C, Tran D, Parry N, Yuhan BT, Bolduan A, et al. A systematic review of cervical ganglioneuromas. OTO Open. 2022;6:1-6.

3. Perrino C, Zynger DL. Ganglioneuroma. Washinton (US):PathologyOutlines.com;2014. Disponible en:https://www.pathologyoutlines.com/topic/adrenalganglioneuroma.html.

4. Majbar AM, Elmouhadi S, Elaloui M, Raiss M, Sabbah F, Hrora A, et al. Imaging features of adrenal ganglioneuroma:a case report. BMC Res Notes. 2014;7:791.