Ecografía transperineal 2D, 3D y 4D: un estudio prometedor en la salud del piso pelviano

Ecografía transperineal 2D, 3D y 4D: un estudio prometedor en la salud del piso pelviano

María A. Fiori

Unidad Cuerpo de Diagnóstico por Imágenes, Grupo Oroño, Alto Rosario, Ciudad de Rosario, Santa Fe, Argentina

*Correspondencia: María A. Fiori. Email: drafiorimariaagostina@gmail.com

Fecha de recepción: 06-10-2023

Fecha de aceptación: 17-09-2024

DOI: 10.24875/RAR.23000100

Disponible en internet: 03-03-2025

Rev Argent Radiol. 2025;89(4):207-216

Resumen

La disfunción del piso pélvico es una condición común que frecuentemente afecta a mujeres de más de 50 años y disminuye la calidad de vida. La ecografía transperineal se ha posicionado en los últimos años como el primer estudio de elección en patologías del piso pelviano. Se trata de un método económico, disponible en las instituciones, no genera incomodidad en la paciente y permite la evaluación de las estructuras pelvianas en tiempo real. La ecografía es un estudio de larga data; sin embargo, el desarrollo de la ecografía transperineal con sus variantes 2D, 3D y 4D nos abre nuevos caminos al abordaje de un tema tan complejo como lo es el piso pelviano. Su avance necesita de un especialista en diagnóstico por imágenes capacitado en el tema y un grupo interdisciplinario de médicos especialistas para estudiar cada paciente en forma personal y articulada.

Palabras clave:  Ecografía transperineal. Piso pelviano. Ecografía 3D y 4D.

Contenido

Id previo:  174

Introducción

La disfunción del piso pélvico es una condición común que frecuentemente afecta a mujeres de más de 50 años y disminuye la calidad de vida. La debilidad de las estructuras de soporte envuelve los tres compartimentos y causa una combinación de síntomas que incluyen constipación, incontinencia fecal y urinaria, defecación obstruida, dolor pelviano, bulto perineal y disfunción sexual. Las causas de la disfunción del piso pélvico son complejas y multifactoriales y se relacionan con la debilidad o la ineficacia de las estructuras de soporte.

Los factores de riesgo incluyen el parto vaginal, la multiparidad, la histerectomía, la edad avanzada, las enfermedades del tejido conectivo, la obesidad, el hipoestrogenismo, las enfermedades pulmonares crónicas y las condiciones que aumenten la presión intraabdominal. De todos los factores de riesgo mencionados, el parto vaginal es considerado el de mayor importancia. El examen físico es limitado en la evaluación de estos trastornos y frecuentemente hay una infraestimación de los compartimentos involucrados. Las imágenes tienen un importante rol en la evaluación clínica y una invaluable información para el seguimiento del paciente y el plan quirúrgico. Dentro de los métodos diagnósticos utilizados se encuentra la ecografía transperineal y la resonancia magnética (RM) dinámica de piso pelviano1.

La RM de piso pelviano posee una resolución anatómica superior a otros métodos diagnósticos y permite analizar de forma funcional los tres compartimentos; sin embargo, la ecografía transperineal se ha posicionado en los últimos años como el primer estudio de elección en patologías del piso pelviano. Se trata de un método económico, disponible en las instituciones, que no genera incomodidad en la paciente y permite la evaluación de las estructuras pelvianas en tiempo real, por ejemplo la movilidad del cuello vesical y el prolapso de los órganos intrapelvianos durante maniobras de Valsalva. En conjunto con la ecografía 2D se ha desarrollado y perfeccionado la ecografía 3D y 4D en este campo, que nos permiten estudiar el plano axial (hiato del elevador).

A diferencia de la ecografía intravaginal y endoanal, la ecografía transperineal no distorsiona la anatomía, eso hace posible que se puedan evaluar patologías como el prolapso. También hay que destacar que no genera incomodidad para la paciente ya que se realiza sobre el periné.

Lancey afirmaba en el año 2005 que los médicos ginecólogos, urólogos y proctólogos estaban notando que la evaluación clínica por sí sola era una herramienta poco precisa para evaluar la función y la anatomía del suelo pélvico y los pacientes tienen más riesgo de recurrencia luego de una cirugía reconstructiva pélvica. Por otro lado, sabemos que las técnicas de imágenes son más reproducibles y fáciles de enseñar que el examen físico. El médico que más ha estudiado y publicado sobre el tema de ecografía transperineal a lo largo de 20 años es el Dr. Peter Dietz2.

La ecografía transperineal estudia los tres compartimentos de la pelvis en tiempo real, y la morfología de los órganos y de los músculos del suelo pélvico.

Nos parece de importancia exponer la técnica y los alcances diagnósticos.

Técnica y equipo

Los requisitos básicos para la ecografía transperineal del suelo pélvico incluyen un sistema de ecografía 2D compatible con el modo B con función de cine loop, y un transductor de matriz curva de 4 a 8 MHz. Se aconseja la máxima apertura de imagen, mayor a 90 grados, y una profundidad de imagen que permita visualizar todos los órganos pélvicos.

Las imágenes se suelen realizar en litotomía dorsal, con las caderas flexionadas y ligeramente abducidas, o en la posición de pie. Para realizar el estudio es conveniente la retención de orina media hora antes de realizarlo y es necesario vaciar el recto con un enema una hora antes del examen.

Para obtener una imagen media sagital del piso pelviano, el transductor se coloca en el periné, previo a cubrirlo con un guante, donde podemos visualizar de izquierda a derecha, la sínfisis pubiana anteriormente, la uretra y el cuello vesical (compartimento anterior), la vagina y cérvix (compartimento medio) y el recto y el canal anal (compartimento posterior). Posterior a la unión anorrectal se observa un área hiperecogénica que indica la porción central del músculo elevador del ano, el haz puborrectal2.

Aunque existen discrepancias respecto a la orientación de la imagen ecográfica, se considera que la orientación óptima es como la ecografía transvaginal convencional (orientándose la región cráneo-ventral a la izquierda y la dorso-caudal a la derecha), para evitar confusión3.

La separación de los labios puede mejorar la imagen, las imágenes son nítidas en el embarazo y menos nítidas en mujeres posmenopáusicas, esto tendría que ver con la hidratación de los tejidos. Las cicatrices vaginales impiden una correcta visión, sin embargo la obesidad no degradaría la calidad de las imágenes2.

A continuación, se expone una representación gráfica de las imágenes ecográficas (Figs. 1 y 2).

Retiro de imagen por infracción al régimen de propiedad intelectual

Figura 1. Posición del transductor. Representación gráfica de las imágenes ecográficas del piso pelviano.

Figura 2. Representación ecográfica de las imágenes de piso pelviano.

Indicaciones

Las principales indicaciones para la realización de la ecografía transperineal establecidos por el American Institute of Ultrasound in Medicine/International Urogynecological Asociation (AIUM/IUGA) son: la incontinencia urinaria, las infecciones recurrentes del tracto urinario, la disuria persistente, los síntomas de disfunción miccional, los síntomas de prolapso de los órganos pélvicos, la defecación obstruida, la incontinencia anal, el flujo vaginal o el sangrado después de la cirugía del suelo pélvico, el dolor pélvico vaginal después de la cirugía del suelo pélvico, la dispareunia, el quiste o la masa vaginal, los implantes sintéticos, la evaluación del músculo elevador del ano después del parto, la lesión perineal obstétrica y la lesión obstétrica del esfínter anal4.

Anatomía

La patología del suelo pélvico generalmente envuelve los tres compartimentos. Afectan a la interrelación en el trabajo de los músculos, ligamentos y el tejido conectivo, que resulta en un daño estructural y posterior disfunción1.

Conocer la relación entre las estructuras del piso pelviano es la clave para una correcta interpretación de los hallazgos y las posteriores decisiones terapéuticas. El piso pelviano se compone de tres compartimentos: el anterior (que contiene la vejiga y uretra), el compartimento medio (que contiene útero y vagina) y el posterior (que contiene canal anal, el recto y el colon sigmoides). Las estructuras de soporte de la pelvis consisten en la interacción compleja de huesos, músculos, ligamentos y órganos. Los ligamentos, músculos y la fascia constituyen un sistema músculo-elástico que dan forma y función a los órganos. Los órganos pélvicos, incluyendo la uretra, la vagina y el recto, no tienen forma inherente. El rol de la fascia es dar tensión y soporte a los órganos, el rol de los ligamentos es dar suspensión a los órganos y servir de punto de anclaje muscular y el de los músculos es contribuir a su forma y su tensión.

Las estructuras de soporte son tres capas de superior a inferior: la fascia endopélvica, el diafragma pélvico y el diafragma urogenital. La fascia endopélvica se compone de la fascia pubocervical, parametrio/paracolpo y el septo rectovaginal. El diafragma pelviano se compone del músculo elevador del ano y del músculo coccígeo, y el diafragma urogenital se compone del músculo transverso del periné y el tejido conectivo1.

A continuación, se enumera cada compartimento con los posibles hallazgos de la ecografía transperineal.

Compartimento anterior

URETRA

La uretra está formada por un área interna hipoecoica (que incluye mucosa, plexo vascular y músculo liso) y un área externa hiperecoica (que es el rabdomioesfínter). Podemos evaluar:

  • – Focos hiperecogénicos: glándulas suburetrales calcificadas (Fig. 3).
  • – Divertículos (Fig. 4).
  • – Quistes.
  • – Masas uretrales: miomas, pólipo fibroepitelial (Fig. 5).
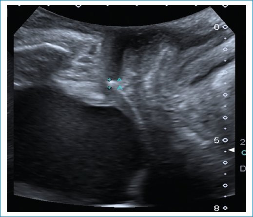
  • – Hipermovilidad uretral: se traza una línea perpendicular al margen postero-inferior de la sínfisis del pubis y se mide la diferencia en el descenso del cuello vesical con respecto a esa línea en reposo y Valsalva. No hay consenso acerca del límite para considerar hipermovilidad uretral, ya que la incontinencia de orina también depende de la función del esfínter y otros parámetros. Se propone como punto de corte 25 mm. La hipermovilidad uretral puede ser causa de incontinencia de orina y permite considerar el sling suburetral como una posible solución al problema3 (Fig. 6).

Figura 3. Imagen hiperecogénica en la pared uretral en relación con glándulas suburetrales calcificadas.

Figura 4. Se observa un divertículo de gran tamaño posterior a la uretra.

Figura 5. En la ecografía se observa una lesión hipoecoica en la luz uretral. En la RM se identifica una lesión levemente hiperintensa en secuencia sagital T2 que protruye hacia el meato uretral externo, en relación con un pólipo fibroepitelial confirmado por anatomía patológica.

Figura 6. Se observa la medición del descenso del cuello vesical durante reposo y Valsalva.

VEJIGA
  • – Medición del espesor de su pared: un espesor mayor a 5 mm está asociado a hiperactividad vesical.
  • – Medición residuo posmiccional:
  • X × Y × 5,9 / 14,9 = volumen residual en mililitros.
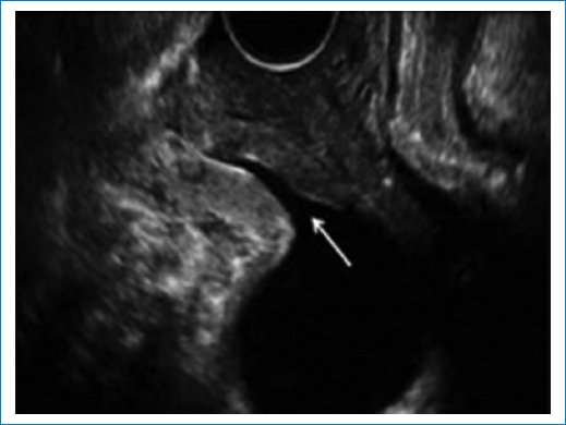
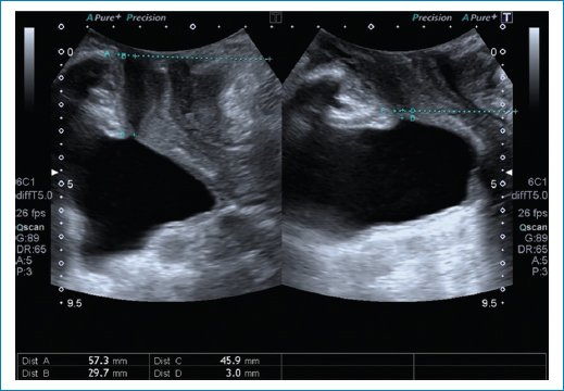
  • – Cistocele: con el examen físico solamente podemos evaluar un prolapso de la pared anterior de la vagina; sin embargo, con las imágenes podemos diferenciar entre un cistouretrocele que se asocia a incontinencia de orina y un cistocele con ángulo retrovesical intacto con síntomas de obstrucción al vaciado y baja probabilidad de incontinencia de orina. También puede ser que el prolapso de la vagina anterior sea por un divertículo uretral, quiste de Gartner o un enterocele anterior. El punto de corte para determinar el descenso de la vejiga es 10 mm por debajo de la línea pubiana que se traza perpendicular a la sínfisis pubiana3 (Fig. 7).
  • – En Valsalva también podemos medir:

    • Ángulo retrovesical (90-120°): si es abierto es más probable que la paciente tenga síntomas de incontinencia y si es cerrado de disfunción al vaciado (Fig. 8).
    • Ángulo de rotación de la uretra: rotación postero-inferior de la uretra que apoya el diagnóstico de hipermovilidad uretral (Fig. 9).
    • Funneling: se asocia a incontinencia de orina de esfuerzo, puede estar presente en sintomáticos y asintomáticos, se relacionaría con menor presión del cierre del esfínter uretral interno. Se puede utilizar el Doppler color para documentar la fuga de orina. Su presencia estaría asociado a fallas en sling antiincontinencia3 (Fig. 10).
    • – Mallas: la ecografía es superior a la RM en la evaluación de mallas. Se puede evaluar el tipo de malla (transobturador o retropúbica), sus fallas y sus complicaciones3 (Fig. 11).

    Figura 7. Se observa un descenso de la pared posterior vesical por debajo de la línea pubiana, con ángulo retrovesical cerrado.

    Figura 8. Se observa un ángulo retrovesical abierto mayor a 120 grados, con mayor probabilidad de incontinencia.

    Figura 9. Se observa la medición del ángulo de rotación de la uretra, mayor a 30 grados, que apoya al diagnóstico de hipermovilidad uretral.

    Figura 10. Se observa el signo del embudo o funneling a nivel del esfínter uretral interno.

    Figura 11. Se observa un sling suburetral hiperecogénico en el plano coronal y en el plano sagital.

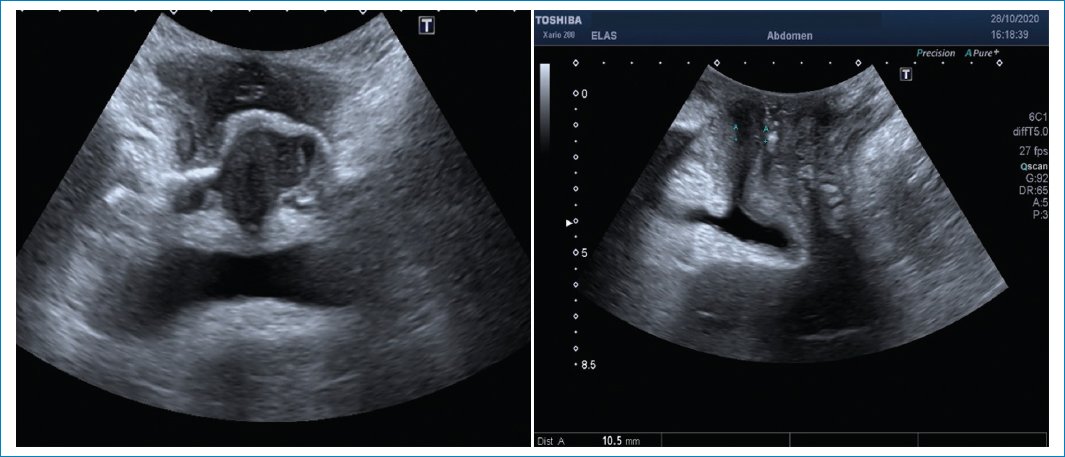
    HIATO UROGENITAL

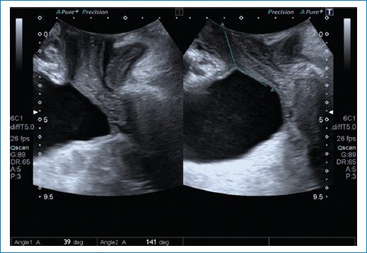
    Se puede evaluar la medida del hiato urogenital observando si hay coactivación de los músculos del suelo pelviano cuando aumenta la presión intraabdominal en maniobras de Valsalva. Esta coactivación del elevador del ano puede estar relacionada con patologías como el vaginismo o el anismo. El tratamiento consiste en rehabilitación con kinesiología (Fig. 12).

    Figura 12. Se observa un aumento del hiato urogenital en Valsalva, en relación con una correcta relajación del músculo elevador del ano en la imagen de la derecha y en la imagen de la izquierda, la coactivación del músculo elevador del ano en Valsalva.

    Compartimento medio5

    • – Integridad de vagina (quistes vaginales [Fig. 13], leiomioma vaginal), morfología de la vagina (integridad del haz puborrectal).
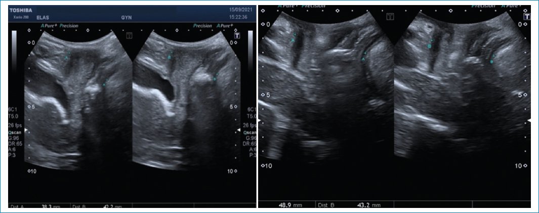
    • – Útero y el cuello uterino: podemos evaluar el descenso del útero vs. elongación del cuello uterino. Se evalúa el descenso del útero con respecto a la sínfisis del pubis y se toma de referencia el cuello uterino o el fondo de saco de Douglas en caso de histerectomía. Prolapso: 15 mm por debajo de la línea de la sínfisis del pubis (Fig. 14).

    Figura 13. Se observa la presencia de un quiste que se extiende a lo largo de la cavidad vaginal.

    Figura 14. Se observa el cuello uterino que ocupa la cavidad vaginal.

    El compartimento anterior y medio tiene más correlación con la clínica que el compartimento posterior en cuanto al prolapso.

    Compartimento posterior6

    • – Rectocele con defecto de tabique rectovaginal (Fig. 15).
    • – Prolapso con tabique rectovaginal intacto-hipermovilidad perineal.
    • – Rectoenterocele.
    • – Enterocele aislado.
    • – Intusepción anal.
    • – Disinergia: la defecación disinérgica afecta al 40% de los pacientes con constipación crónica. Las causas pueden ser relajación anal incompleta, contracción anal paradójica o esfuerzo de puje inadecuado.
    • – Evaluación del esfínter anal: para valorar el esfínter anal se deben realizar dos movimientos, a partir del plano mediosagital, un giro de 90 grados y una inclinación de la sonda hacia el canal anal, obteniendo una imagen axial del esfínter anal2. Se debe realizar su inspección en 3D y 4D con cortes tomográficos multicorte donde se pueden detectar lesiones del esfínter anal. La ecografía endoanal sigue siendo de elección, sin embargo la ecografía transperineal puede detectar lesiones, hipertrofia del esfínter anal interno en fisuras crónicas y fistula anal (Fig. 16).

    Figura 15. Se observa un rectocele anterior durante Valsalva.

    Retiro de imagen por infracción al régimen de propiedad intelectual

    Figura 16. (A) Cortes axiales donde se observa una cicatriz del esfínter anal interno. (B) Untrasonido tomográfico transperineal donde se observa una lesión del esfínter anal interno.

    Retiro de imagen por infracción al régimen de propiedad intelectual

    Figura 17. (A-D) Se observa la anatomia normal del plano axial pelviano reconstruido en 3D.

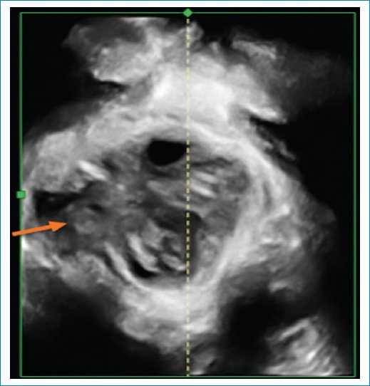
    Plano axial 3D-4D7 (Fig. 17)

    • – Integridad del haz puborrectal: se evalúa en contracción máxima y se reconstruye en 3D y 4D, se cuantifica el grado de lesión con el ultrasonido tomográfico (Fig. 18).
    • – Avulsión del haz puborrectal unilateral o bilateral: la distancia entre la uretra y el músculo puborrectal bilateral no debe ser mayor a 25 mm. Unilateral: asimetría.
    • – Microtraumas del elevador del ano: balonización del hiato urogenital en Valsalva. El balonamiento del hiato urogenital se considera cuando es mayor a 25 cc, esto se asocia con prolapso y síntomas de prolapso y mayor probabilidad de recurrencia en reparaciones de rectoceles (Fig. 19).
    Retiro de imagen por infracción al régimen de propiedad intelectual

    Figura 18. Se observa una lesión en el haz puborrectal derecho.

    Retiro de imagen por infracción al régimen de propiedad intelectual

    Figura 19. Se observa el aumento del volumen del hiato urogenital, en relación con balonamiento.

    Ecografía transperineal vs. RM dinámica de piso pelviano

    El conocimiento de la anatomía pelviana y la evaluación de cada compartimento son cruciales para un correcto diagnóstico y su posterior plan quirúrgico, en caso necesario. El examen físico sigue siendo limitado, especialmente en los casos complejos. La ecografía translabial y la RM dinámica de piso pelviano son métodos no invasivos que pueden evaluar los tres compartimentos en forma simultánea. La ecografía translabial es rápida y se encuentra disponible en la mayor parte de los centros de diagnóstico, aunque su técnica no es completamente conocida. La RM tiene alta calidad de imagen de los compartimentos de la pelvis y puede evaluar en forma dinámica estos, sin embargo, realizarla implica costos elevados. En nuestra experiencia sugerimos la ecografía translabial como primer paso en el diagnóstico de las patologías de piso pelviano, y para la evaluación de las mallas y la RM podría ser crucial en patologías que no se esclarecen con la ecografía, en casos complejos cuando se envuelven los tres compartimentos y para evaluar complicaciones postoperatorias, abscesos o procesos inflamatorios1.

    Conclusión

    La ecografía es un estudio de larga data; sin embargo, el desarrollo de la ecografía transperineal con sus variantes 2D, 3D y 4D nos abre nuevos caminos al abordaje de un tema tan complejo como lo es el piso pelviano. Su avance necesita de un especialista en diagnóstico por imágenes capacitado en el tema y un grupo interdisciplinario de médicos especialistas (radiólogos, proctólogos, urólogos, ginecólogos, gastroenterólogos, nutricionistas) y kinesiólogos, para estudiar cada paciente en forma personal y articulada. La ecografía transperineal junto a otros métodos diagnósticos y el examen físico nos va a permitir aportar datos claves para el manejo terapéutico y quirúrgico de la paciente.

    Agradecimientos

    La autora agradece al Dr. R. Villavicencio, quien la impulsó a especializarse en la salud femenina, y a ejercer su profesión en el prestigioso Grupo Oroño de la Ciudad de Rosario.

    Financiamiento

    La autora declara no haber recibido financiamiento para este estudio.

    Conflicto de intereses

    La autora declara no tener conflicto de intereses.

    Consideraciones éticas

    Protección de personas y animales. La autora declara que los procedimientos seguidos se conformaron a las normas éticas del comité de experimentación humana responsable y de acuerdo con la Asociación Médica Mundial y la Declaración de Helsinki. Los procedimientos fueron autorizados por el Comité de Ética de la institución.

    Confidencialidad, consentimiento informado y aprobación ética. La autora ha seguido los protocolos de confidencialidad de su institución, ha obtenido el consentimiento informado de los pacientes, y cuenta con la aprobación del Comité de Ética. Se han seguido las recomendaciones de las guías SAGER, según la naturaleza del estudio.

    Declaración sobre el uso de inteligencia artificial. La autora declara que no utilizó ningún tipo de inteligencia artificial generativa para la redacción de este manuscrito.

Bibliografía

1. ChamiéLP, Ribeiro DMF, Caiado AHM, Warmbrand G, Serafini PC. Translabial US and dynamic MR imaging of the pelvic floor:normal anatomy and dysfunction. Radiographics. 2018;38(1):287-308.

2. Dietz HP, Hoyte LPJ, Steensma AB. Atlas of pelvic floor ultrasound. Londres:Springer;2008.

3. Ecografía de suelo pélvico. Sociedad Española de Ginecología y Obstetricia. Prog Obstet Ginecol. 2019;62(1):92-102.

4. García-Mejido JA, Bonomi-Barby MJ, Armijo-Sánchez A, Borrero-Fernández C, Castro-Portillo L, Vargas-Broquetas M, et al. Metodología para el estudio ecográfico transperineal del suelo pélvico. Clin Invest Ginecol Obstet. 2021;48(2):190-5.

5. Dietz HP, Sheik KL. What is abnormal uterine descent on translabial ultrasound?Int Urogynecol J. 2015;26:1783-7.

6. Dietz HP. Translabial ultrasound in the assessment of pelvic floor and anorectal function in women with defecatory disorders. Tech Coloproctol. 2014;18:481-94.

7. Yin T, Qin L, Xu L, Liu F, Bing H. Three-dimensional ultrasound appearance of pelvic floor in nulliparous women and pelvic organ prolapse women. Int J Med Sci. 2012;10:895-900.