Introducción
La irrigación cerebral durante el periodo embrionario está formada por dos circulaciones, la anterior (sistema carotídeo) y la posterior (sistema vertebrobasilar primitivo, conformado por las arterias neurales longitudinales), que irrigan el prosencéfalo y el rombencéfalo, respectivamente. Se comunican entre sí a través de las anastomosis carotidovertebrobasilares. Estas últimas se llaman arterias intersegmentarias y sufren un periodo de regresión. La falta de obliteración de las mismas resulta en la persistencia de una o más de dichas arterias; por orden de frecuencia, se encuentran la arteria trigeminal, la arteria hipoglosa, la arteria ótica y la arteria proatloidea1,2 (Fig. 1).
Figura 1. Esquema de las comunicaciones carotidovertebrobasilares. Se representa la conexión entre la circulación anterior y la circulación posterior, a través de las arterias intersegmentarias. En orden cefalocaudal se encuentran la arteria trigeminal (celeste), la arteria ótica (verde), la arteria hipoglosa (roja) y la arteria proatloidea (violeta). Se grafican las variantes de estas dos últimas: el tipo 1 nace de la ACI y el tipo 2 que nace de la ACE.
La arteria hipoglosa persistente (AHP) corresponde a la persistencia de una comunicación fetal carotidovertebrobasilar en el adulto. El objetivo de este trabajo es ilustrar al lector sobre las diferentes variantes posibles y su importancia para llegar a un adecuado diagnóstico radiológico y evitar complicaciones terapéuticas.
Casos clínicos
Caso 1
Mujer adulta joven a quien se realizó resonancia magnética (RM) de encéfalo con angiografía por RM (ARM), por cefalea refractaria al tratamiento. La exploración física y el examen neurológico eran normales.
Las secuencias convencionales ponderadas en T2 y FLAIR (fluid attenuated inversion recovery), y las secuencias volumétricas T1 y ARM 3D TOF (time of flight) con inyección de gadolinio (Gd), mostraron una estructura de origen vascular que ingresaba al endocráneo a través del agujero condíleo anterior (conducto hipogloso) y se dirigía en sentido posterior para unirse al tronco basilar (TB). Se confirmó que dicho hallazgo correspondía a una arteria anómala del cuello que se unía al TB, asociada a hipoplasia de las arterias vertebrales (AV) (Fig. 2).
Figura 2. RM de base de cráneo ponderada en T2, FLAIR y GRE T1 (A, B y C), secuencia ARM 3D TOF con Gd en cortes nativos en plano axial, reconstrucción MIP y 3D de vasos intracraneales (D, E y F). Se observa una arteria aberrante (flechas rojas) que ingresa por el agujero condíleo anterior (canal del nervio hipogloso mayor, flechas blancas), correspondiente a la arteria hipoglosa.
En las imágenes de ARM de los troncos supraaórticos con Gd se evidenció que dicha arteria nacía de la pared interna de la arteria carótida externa (ACE) inmediatamente después del origen de su primera rama (a nivel de C3), ascendía en su trayecto cervical por el espacio carotídeo lateral a la arteria carótida interna (ACI), atravesaba la base del cráneo por el canal del hipogloso y posteriormente, en un trayecto corto cisternal, finalizaba en el TB. Se asociaba a hipoplasia de las dos AV. Dicho hallazgo correspondió a una comunicación fetal persistente que se denomina AHP tipo 2 (Fig. 3).
Figura 3. ARM de troncos supraaórticos con Gd (A). Se observa la arteria hipoglosa naciendo de la ACE (tipo 2), con un trayecto ascendente (flechas rojas) adyacente a la ACI y conformando el TB (B y C). Las AV hipoplásicas contribuyen a formar el TB (flecha doble verde [D]).
Caso 2
Mujer adulta joven que consulta por cefaleas, sin otros síntomas ni signos neurológicos. En la RM de encéfalo se encuentra como hallazgo positivo en las secuencias potenciadas en T2 volumétricas, la ARM 3D TOF en cortes nativos en el plano axial y en reconstrucción MIP de vasos cervicales, una estructura vascular que corresponde a la AHP, que emerge de la ACI derecha (tipo 1), con un trayecto ascendente y medial a la ACI, para unirse o finalizar en el TB atravesando el canal hipogloso del lado derecho. Las AV son hipoplásicas (Fig. 4).
Figura 4. RM de base de cráneo ponderada en T2 volumétrico (A y B), secuencia ARM 3D TOF en cortes nativos en plano axial (C), y reconstrucción MIP y 3D de vasos cervicales (D). Las figuras A, B y C muestran una estructura vascular dentro del canal hipogloso derecho que comunica con la arteria basilar (flechas rojas). Mediante la reconstrucción 3D MIP de vasos cervicales es posible identificar que esta estructura vascular corresponde a la arteria hipoglosa, que emerge de la ACI derecha (tipo 1), con un trayecto ascendente y medial a la ACI (flechas blancas), conformando el TB. Las AV son hipoplásicas.
Caso 3
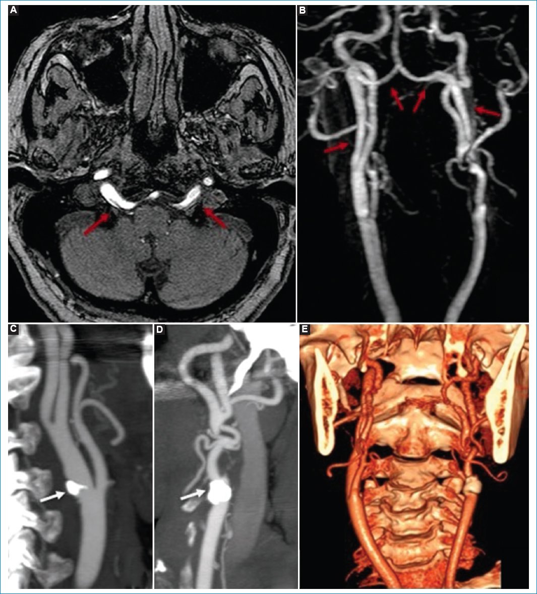
Varón adulto mayor, asintomático, a quien en un cribado de su patología ateromatosa de vasos del cuello e intracraneales se le realizan estudios de RM y de tomografía computada (TC) de los vasos del cuello.
En las secuencias ARM 3D TOF en el plano axial y reconstrucción 3D MIP de vasos cervicales e intracraneales, y en la angiografía por TC con reconstrucción MIP y 3D de los vasos cervicales, se observaron AHP bilaterales emergiendo en el tercio medio del segmento cervical de las ACI (tipo 1) e ingresando en la fosa posterior a través del canal hipogloso, conformando el TB. Se asoció a agenesia de ambas AV y presencia de ateromatosis en ambas bifurcaciones carotídeas, por placas parietales mixtas predominantemente cálcicas (con mayor afectación del izquierdo, determinando una estenosis luminal significativa > 70%). Estos hallazgos condicionaban un mayor riesgo de evento vascular isquémico o embólico en los territorios cerebrales posteriores (Fig. 5).
Figura 5. Secuencia de ARM 3D TOF en el plano axial (A) y reconstrucción 3D MIP de vasos cervicales e intracraneales (B), angiografía por TC con reconstrucción MIP de los vasos cervicales derecho (C) e izquierdo (D), y angiografía por TC con reconstrucción 3D de los vasos cervicales (E). Se observan las arterias hipoglosas bilaterales (flechas rojas) emergiendo en el tercio medio del segmento cervical de la ACI (tipo 1) e ingresando en la fosa posterior a través del canal hipogloso, formando el TB y dando origen a la circulación posterior. Se nota agenesia de las AV bilaterales. Destaca la ateromatosis de los sistemas carotídeos cervicales bilaterales (flechas blancas).
Caso 4
Varón joven que consulta por vértigo y se le realiza una RM de cerebro con ARM con Gd. Se observa una arteria hipoglosa derecha que nace de la pared posterior de la ACI, atraviesa el cuello por detrás de esta e ingresa por el canal del hipogloso para unirse al TB. Se asociaba a hipoplasia de ambas AV y a una dilatacion fusiforme del bulbo carotídeo con una ACI cervical tortuosa (Fig. 6).
Figura 6. (A y B) Axial GRE T1 con contraste y ARM con contraste, reconstruccion MIP, que muestra una arteria hipoglosa derecha que conforma el TB y su ingreso por el canal del hipogloso derecho (flechas rojas). La reconstruccion 3D volumen rendering (C y D) y la reconstuccion de ARM con Gd MIP (E) muestran la arteria hipoglosa naciendo de la pared posterior de la ACI y formando el TB a nivel intracraneal, además de la hipoplasia de ambas arterias vertebrales. La ACI presenta una dilatacion exagerada del bulbo (flechas blancas).
Discusión
Las anastomosis carotidovertebrobasilares existen durante el periodo embrionario, comienzan su regresión a partir del día 32 del desarrollo y desaparecen cuando el embrión mide como máximo 12-14 mm (Fig. 7)3. Esto se produce cuando se establece la unión de ambas circulaciones cerebrales (anterior y posterior) a través de la arteria comunicante posterior y por la fusión de las arterias longitudinales para formar el TB1.
Figura 7. En el estadio 1 del desarrollo vascular embrionario (A), la circulación posterior es irrigada por la circulación anterior a través de anastomosis carotidovertebrobasilares. El crecimiento de estructuras de la fosa posterior (B) es el estímulo inicial para la formación de la circulación posterior, con el desarrollo de la arteria comunicante posterior y posteriormente la arteria basilar, y la consiguiente regresión de las anastomosis anteroposteriores. En el estadio 3 (C), con el embrión midiendo entre 7 y 12 mm, alrededor de los 32 días, las AV y basilar están completamente formadas y comienza el desarrollo de la futura arteria cerebral media.
Existen numerosos casos reportados de las variantes más frecuentes, como la arteria trigeminal, la AHP tipo 1 (Figs. 5 y 6) y la arteria proatloidea1–5. Sin embargo, la AHP tipo 2 corresponde a una persistencia extremadamente rara, con pocos casos encontrados en la literatura en inglés, que se origina de la ACE, como mencionamos en el caso 1, a diferencia del tipo 1, que se origina de la ACI entre C1 y C3.
La AHP tiene predominio en el sexo femenino y el lado izquierdo6. Ingresa al cráneo por el agujero condíleo anterior, llamado canal hipogloso, junto al duodécimo par craneal, para anastomosarse con el TB1,7. Este trayecto que describe resulta importante debido a que puede asociarse a neuralgia glosofaríngea y parálisis del nervio hipogloso8, como consecuencia del contacto estrecho (conflicto neurovascular). Además, suele existir agenesia o hipoplasia de una o ambas AV o de la arteria cerebral posterior homolateral a la variante6; por ende, el flujo sanguíneo depende principalmente de la circulación anterior, aumentando el riesgo de infarto isquémico o embólico en los territorios cerebrales posteriores.
Es de relevancia su conocimiento en los pacientes que requieran una endarterectomía carotídea (preferentemente cuando nace de la ACI) o una cirugía de la base del cráneo, ya que la lesión, la trombosis o la embolia de esta, podrían originar una isquemia en el territorio posterior3.
Puede estar asociada a aneurismas, como consecuencia a la presencia de células endoteliales inmaduras en la íntima de la AHP y el aumento del estrés hemodinámico. La frecuencia referida en la unión con la arteria basilar se sitúa en un 26-33%7,8.
En relación con la enfermedad carotídea con estenosis grave, ya sea a nivel de la bifurcación o del bulbo carotídeo, secundario a ateromatosis, o en la arteria carótida común por enfermedad de Takayasu, podría provocar un robo vertebrocarotídeo con inversión del flujo del sistema vertebrobasilar a la arteria carótida a través de la AHP8.
La diferenciación con la arteria proatloidea es importante, ya que pueden presentar una orientación similar. Hay dos aspectos clave que deben tenerse en cuenta para su diferenciación: el trayecto cervical, el cual tiene una disposición más horizontal suboccipital en el caso de la arteria proatloidea, y el orificio de la base del cráneo por el que ingresan, siendo el conducto hipogloso para la AHP y el foramen magno para la otra3,9.
La arteria proatloidea se origina a nivel cervical, por debajo de la AHP, y su persistencia es muy rara. Se clasifica como tipo 1 cuando se origina de la ACI a nivel de C2-C4 y se anastomosa con las AV antes de ingresar al cráneo, y como tipo 2 cuando nace de la ACE1,10. Es más frecuente el tipo 1 (57%) que el tipo 2 (47%)10.
La arteria trigeminal es la variante más frecuente. Su prevalencia es del 0,1-0,6% de los casos, con leve predominio en el sexo femenino1,2. Nace en el segmento cavernoso de la ACI y tiene dos segmentos, uno cavernoso y otro cisternal. Su segmento cavernoso se clasifica en dos tipos, según su relación con el sexto par craneal (nervio motor ocular externo)4,5.
La arteria ótica o acústica es la persistencia menos frecuente; solo se han reportado ocho casos1. Nace en la ACI en su segmento petroso y se anastomosa con el TB luego de atravesar el conducto auditivo interno.
Conclusión
Presentamos tres posibles tipos de persistencia de la arteria hipoglosa, que se originan en la ACI (tipo 1), la ACE (tipo 2) o incluso es bilateral, asociado con un conjunto de anomalías del desarrollo. Aunque estas variaciones suelen ser asintomáticas y se encuentran incidentalmente, su importancia puede ser significativa en el diagnóstico y el tratamiento.
Financiamiento
Los autores declaran no haber recibido financiamiento para este trabajo.
Conflicto de intereses
Los autores declaran no tener conflicto de intereses.
Consideraciones éticas
Protección de personas y animales. Los autores declaran que para esta investigación no se han realizado experimentos en seres humanos ni en animales.
Confidencialidad, consentimiento informado y aprobación ética. Los autores han seguido los protocolos de confidencialidad de su institución, han obtenido el consentimiento informado de los pacientes, y cuentan con la aprobación del Comité de Ética. Se han seguido las recomendaciones de las guías SAGER, según la naturaleza del estudio.
Declaración sobre el uso de inteligencia artificial. Los autores declaran que no utilizaron ningún tipo de inteligencia artificial generativa para la redacción de este manuscrito.