Características y hallazgos imagenológicos de la cefalea en el embarazo y el puerperio

Características y hallazgos imagenológicos de la cefalea en el embarazo y el puerperio

Estela B. Gómez 1, Rosario E. Bastidas-Vivas 1, Alejandro Giacchino 2, Analia Manin 2, Cecilia Baston 3

1 Departamento de Diagnóstico por Imágenes, Sanatorio Otamendi, Ciudad Autónoma de Buenos Aires, Argentina; 2 Departamento de Neurología, Sanatorio Otamendi, Ciudad Autónoma de Buenos Aires, Argentina; 3 Departamento de Neonatología, Sanatorio Otamendi, Ciudad Autónoma de Buenos Aires, Argentina

*Correspondencia: Rosario E. Bastidas-Vivas. Email: rosario.bastidas89@gmail.com

Fecha de recepción: 25-03-2022

Fecha de aceptación: 08-07-2024

DOI: 10.24875/RAR.22000023

Disponible en internet: 25-09-2024

Rev Argent Radiol. 2024;88(4):159-167

Resumen

La cefalea es un síntoma frecuente en el periodo de gestación y puerperio, que abarca un amplio espectro de posibilidades diagnósticas. Durante el embarazo se producen múltiples cambios fisiológicos, hemodinámicos, hormonales y vasculares, que sumados o no a condiciones preexistentes inducen a la existencia de este síntoma. Por tanto, la cefalea puede ser una manifestación de una condición relativamente autolimitada o de una afección potencialmente mortal, contemplando algunas condiciones patológicas como la trombosis venosa, la preeclampsia, la hemorragia subaracnoidea (HSA), el síndrome de encefalopatía posterior reversible (SEPR) y el accidente vascular cerebral, entre otras. El reconocimiento de los hallazgos imagenológicos característicos permite la exclusión de ciertas patologías e incluso lleva a los diagnósticos diferenciales más aproximados, evitando así retrasos terapéuticos.

Palabras clave:  Cefalea. Gravidez. Período posparto. Resonancia magnética. Medios de contraste.

Contenido

Id previo:  144

Introducción

La cefalea es una manifestación neurológica frecuente durante la gestación y el puerperio, pudiendo ser de etiología primaria o secundaria. En esta última, los métodos de imagen desempeñan un papel central en el diagnóstico. Las causas a descartar pueden ser preeclampsia/eclampsia, síndrome de encefalopatía posterior reversible (SEPR), síndrome de vasoconstricción cerebral reversible, trombosis venosa cerebral y cefalea pospunción, entre las más frecuentes1,2. Debido al amplio espectro de patología y el solapamiento de la clínica, la utilización de las imágenes es fundamental para arribar a un diagnóstico en forma rápida y segura.

Por lo general, en estas pacientes suele haber retrasos en el diagnóstico por la renuencia del personal médico para la utilización de métodos imagenológicos; sin embargo, se ha incrementado el uso de estos, y sumado a un adecuado enfoque clínico, permiten instaurar una propuesta terapéutica adecuada temprana, previniendo las complicaciones o el daño irreversible al binomio madre-feto3,4.

Diagnóstico diferencial de la cefalea en el embarazo y el posparto (Tabla 1)

Tabla 1. Clasificación de algunas cefaleas primarias y secundarias según su etiología

Cefaleas primarias Cefaleas secundarias
Más frecuentes Menos frecuentes
Migraña SEPR/preeclamsia/eclampsia Malformación arteriovenosa
Cefalea tipo tensión Trombosis venosa Hipertensión endocraneal idiopática
Cefaleas “en racimo” y otras cefaleas autonómicas trigeminales Cefalea pospunción Encefalopatía de Wernicke
Otras cefaleas primarias Síndrome de vasoconstricción cerebral reversible Neoplasias
Accidente vascular cerebral isquémico o hemorrágico
Trastornos pituitarios

Cefaleas primarias

Constituyen la mayor parte de las consultas médicas ambulatorias por dolor de cabeza como síntoma principal. Su diagnóstico es clínico, aunque en algunos casos se recurre a exámenes de laboratorio y métodos de imagen para reducir los errores diagnósticos5.

Entre los diferentes tipos de cefaleas primarias se destacan cuatro: migraña, cefalea de tipo tensional, cefalea en racimos y otras cefaleas autonómicas trigeminales, y otras cefaleas primarias (no atribuidas a daño estructural). Las mismas deben cumplir con los siguientes criterios:

  • Son referidas por los pacientes como episodios de cefalea de duración variable, que se repiten cada cierto tiempo, sin otros síntomas de enfermedad.
  • Las características de cada episodio suelen ser uniformes.
  • Ausencia de enfermedades o circunstancias anómalas que expliquen el dolor5,6.

Cefaleas secundarias

Se deben a diferentes patologías. Silberstein7 plantea las siguientes pautas para el estudio de una cefalea durante el embarazo:

<

  • Cuando es la primera o peor cefalea en la vida de la paciente, especialmente si es de comienzo abrupto (cefalea en trueno).
  • Cambios en la frecuencia, la gravedad o los síntomas acompañantes de la cefalea.
  • Examen neurológico anormal.
  • Cefalea nueva, progresiva, persistente y diaria.
  • Síntomas neurológicos que no son los habituales en la migraña con aura.
  • Alteraciones neurológicas persistentes.
  • Evidencias en el electroencefalograma de lesión focal cerebral.
  • Ruidos o soplos, en el cráneo o en la órbita, sugerentes de malformación arteriovenosa.
  • Crisis epilépticas parciales nuevas.

A continuación, desarrollaremos las cefaleas secundarias, haciendo énfasis en su etiología más frecuente.

SÍNDROME DE ENCEFALOPATÍA POSTERIOR REVERSIBLE

El SEPR es una condición clínico-radiológica aguda, caracterizada por manifestaciones neurológicas variables asociadas a edema cerebral vasogénico cortico-subcortical no necesariamente delimitado en la región parieto-occipital bilateral, que en la mayoría de los casos es reversible en la neuroimagen8.

La fisiopatología de la enfermedad está asociada a una disfunción endotelial por alteración en la autorregulación cerebral9. En sujetos sanos, el flujo sanguíneo cerebral se mantiene estable en un rango amplio de presión arterial media, 150-160 mmHg. Si la presión sobrepasa el límite superior se producen vasodilatación e hiperperfusión, con incremento de la permeabilidad de la barrera hematoencefálica que determina edema vasogénico. Si la presión cae por debajo del límite inferior, hay hipoperfusión con daño isquémico. Ambas teorías son discutidas, dado que en el SEPR hay ausencia de hipertensión en el 20-40% de los casos4,8,9.

Las regiones del cerebro perfundidas por la circulación vertebrobasilar tienen menor inervación simpática adrenérgica, presentando una pérdida más temprana de la autorregulación cerebral, razón por la cual son más susceptibles al SEPR10,11.

Uno de los factores de riesgo asociados al SEPR que se debe destacar es la preeclampsia, la cual se considera un trastorno multisistémico de etiología desconocida, manifestada por lo general a partir de las 20 semanas de gestación con presión arterial > 140/90 mmHg, asociada a daño de otro órgano diana (hígado, riñón, sistema nervioso central, placenta, corazón o pulmón). Cuando se suman episodios convulsivos se interpreta como eclampsia1214. Este síndrome tiene mayor frecuencia en pacientes obesas, diabéticas, de mayor edad, afroamericanas, con antecedentes de embarazos múltiples o preeclampsia previa, entre otros1,3,11. Otros factores de riesgo asociados al SEPR son la glomerulonefritis aguda, el síndrome urémico hemolítico, la púrpura trombocitopénica trombótica, el lupus eritematoso sistémico, la toxicidad medicamentosa, la septicemia y la enfermedad de células falciformes15.

  • Clínica: suelen presentar cefalea aguda o subaguda que no cede a la analgesia, letargia, confusión, náuseas, hiperreflexia y trastornos visuales, siendo la convulsión el síntoma inicial más frecuente13,14.
  • Tomografía computada (TC): en fase aguda (< 24 h) los hallazgos suelen ser negativos, y a medida que transcurre el tiempo pueden visualizarse algunas áreas hipodensas cortico-subcorticales a nivel parieto-occipital unilateral o bilateral4,16.
  • Resonancia magnética (RM): es el estudio más sensible.
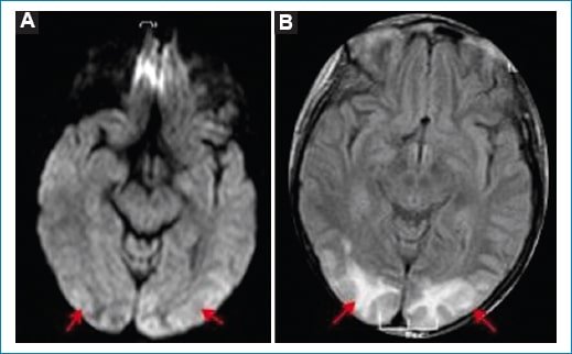
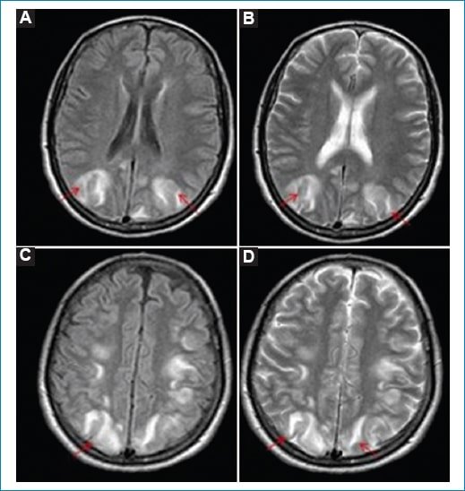
    • Hallazgos típicos: áreas con edema vasogénico caracterizadas por hiperintensidad en T2 y FLAIR e hipointensidad en T1 a nivel parieto-occipital bilateral. La difusión suele ser negativa, ya que se debe a edema vasogénico (Fig. 1). Sin embargo, cuando no se realiza un diagnóstico precoz puede evolucionar a edema citotóxico (irreversible), en cuyo caso dichas áreas presentan restricción en difusión con caída de señal en el mapa de ADC, o puede asociarse a la existencia de hemorragia subaracnoidea (HSA)1,4.
    • Hallazgos atípicos: es casi tan habitual como la clásica. Hay afectación de los lóbulos frontales, el tronco, el cerebelo y los ganglios basales. La mayoría de los casos remiten por completo. Las lesiones irreversibles (edema citotóxico) ocurren en el 15% de los casos y se caracterizan por restricción en difusión (Fig. 2)4.
    • Angiografía por RM (angio-RM) o por TC (angio-TC): se visualizan estrechamientos vasculares multifocales en las arterias cerebrales de mediano y gran calibre, en especial en el territorio posterior.

Figura 1. Eclampsia. Cortes axiales de RM en secuencia potenciada para FLAIR (A y C) y T2 (B y D). Se observan áreas hiperintensas cortico-subcorticales parieto-occipitales bilaterales y simétricas (flechas).

Figura 2. SEPR. Cortes axiales de RM. Se identifica hiperintensidad en difusión (A), que se corresponde con hiperintensidad cortico-subcortical parieto-occipital bilateral (flechas) en la secuencia FLAIR (B).

SÍNDROME DE VASOCONSTRICCIÓN CEREBRAL REVERSIBLE

Es una condición clínica y radiológica caracterizada por cefalea en estallido recurrente y vasoconstricción segmentaria y multifocal, acompañada o no de déficits neurológicos que se resuelven espontáneamente en uno a tres meses.

Se origina por vasoconstricción reversible segmentaria y multifocal de varios sitios vasculares cerebrales asociados o no con isquemia focal. Si bien su etiopatogenia permanece en estudio, suele observarse en el embarazo, el puerperio, la migraña, la porfiria, la actividad sexual y tras el uso de sustancias vasoactivas. En la paciente embarazada, y predominantemente en el puerperio, se considera factor de riesgo la hipersensibilidad catecolaminérgica inducida por el uso de uterotónicos y simpaticomiméticos en la hemorragia uterina, así como también la disminución en los niveles de progesterona, que actúa como vasodilatador durante el embarazo1,4,17.

  • Clínica: cefalea (94%) tipo “trueno”, acompañada de náuseas y vómito, con o sin déficit neurológico8.
  • TC: en fase subaguda pueden observarse sutiles áreas hipodensas segmentarias cortico-subcorticales bilaterales o una HSA. La angio-TC puede ser normal o mostrar un estrechamiento de las arterias de tamaño mediano y pequeño.
  • RM: puede haber áreas con edema vasogénico representadas por hiperintensidad en T2 e hipointensidad en T1. Puede haber áreas de HSA. La angio-RM o la angio-TC demuestran estrechamientos vasculares multifocales en forma difusa que se suelen resolver a los tres meses (Fig. 3)4.
  • Angiografía: se observan estenosis multifocales reversibles de los vasos de segundo y tercer orden de la circulación anterior y posterior. Puede persistir durante días y semanas, y en caso de progresar puede asociarse a estenosis de vasos más proximales (va de distal a proximal). Los estudios realizados en una fase temprana no suelen documentar alteraciones, dado que la máxima vasoconstricción de las ramas de la arteria cerebral media se documenta alrededor de los 16 días después del inicio clínico4,17.

Figura 3. Síndrome de vasoconstricción cerebral reversible. Secuencias de angio-RM intracraneal. (A y B) Se observa estrechamiento de la arteria cerebral media de ambos lados en sus segmentos M1 y M2 (flechas rojas), y en menor medida afectación de las cerebrales posteriores de ambos lados (flechas amarillas). Posterior al tratamiento (C y D) se observan adecuada señal y calibre del circuito arterial anterior (flechas rojas) y posterior (flechas amarillas).

TROMBOSIS VENOSA CEREBRAL

Es una enfermedad poco frecuente, pero de pronóstico potencialmente grave. Puede ocurrir en cualquier momento de la gestación, siendo el pico de incidencia durante las primeras dos semanas del puerperio18.

Entre los factores de riesgo se mencionan los estados de hipercoagulabilidad propios del embarazo, la trombofilia, la cesárea y el shock hemorrágico posparto. La importancia de su diagnóstico temprano radica en que aproximadamente un 6-10% de las muertes maternas están asociadas a esta patología4,18.

La sintomatología y la resolución de la trombosis venosa intracraneal dependen de la ubicación y del grado de oclusión, así como de la presencia de circulación colateral.

  • Clínica: el 80-90% de los casos se presentan con cefalea, que generalmente es subaguda, sin características específicas, asociada a déficit neurológico focal, convulsiones o alteraciones del estado de consciencia8.
  • TC sin contraste intravenoso:
    • Signos directos: el hallazgo característico es la hiperdensidad del seno venoso comprometido, que persiste los primeros 7-15 días18.
    • Signos indirectos: el hallazgo más específico es la presencia de un infarto venoso con o sin transformación hemorrágica, sin límites vasculares arteriales19,20.
  • TC con contraste intravenoso en fase venosa:
    • Signos directos: el más común es un defecto de repleción de contraste en cualquier seno venoso cerebral, el “Signo del delta vacío”, y alcanza una sensibilidad del 95%18,20.
    • Signos indirectos: la hiperemia dural y la circulación colateral generan realce de la duramadre, que puede involucrar la hoz del cerebro y el tentorio. Con menos frecuencia se observa el realce giral y focal asociado a la trombosis cortical18,19.
  • RM: es el método de elección y su sensibilidad es superior a la de la TC.
    • Signos directos: en los senos venosos se evidencian defectos de flujo que se traducen en alteración de la señal (Fig. 4). La intensidad de señal del trombo es similar a la evolución de la sangre en un hematoma18:
      • Trombo agudo (1-5 días): la desoxihemoglobina es la molécula dominante. El coágulo es isointenso en T1, hipointenso en T2 y marcadamente hipointenso en GRE (esto puede simular un vacío de flujo)18,19.
      • Trombo subagudo temprano (entre los días 6 y 15): se produce la oxidación de la molécula de desoxihemoglobina a metahemoglobina. El coágulo es hiperintenso en las secuencias T1 y T218,19.
      • Trombo subagudo tardío (> 15 días): continúa la desintegración de la molécula de hemoglobina. Esta etapa puede ser un reto, ya que la trombosis crónica muestra una recanalización parcial y la señal del coágulo es iso-hiperintensa en T2 e isointensa en T12,18.
      • Trombo crónico (> 30 días): el trombo es isointenso o hiperintenso en T2 e hipointenso en T1. Se ha observado que, luego del contraste, a veces, el seno presenta un realce similar al del seno normal, probablemente vinculado a la organización del trombo con signos de vascularización intrínseca1820.
      • Signos indirectos: los hallazgos en la RM son los mismos que en la TC, aunque más sensibles y específicos. Comprenden el infarto venoso que coexiste con edema cerebral vasogénico o citotóxico con o sin hemorragia intraparenquimatosa (Fig. 5)1820.
  • RM con secuencias vasculares sin contraste: es útil no solo para la documentación del trombo, sino también para el seguimiento de la recanalización postratamiento. Esta técnica suele usarse en las gestantes y en pacientes con falla renal, para evitar la administración de contraste paramagnético. Se realiza usando la secuencia Phase contrast, la cual es sensible a los flujos lentos y permite obtener imágenes con mayor resolución1820.
  • RM con secuencias vasculares con contraste: si tras la realización de las secuencias sin contraste persiste la duda diagnóstica, es necesario administrar contraste paramagnético para diferenciar la trombosis venosa de un flujo vascular lento. Al igual que en la TC, se visualizará un defecto de relleno a nivel del seno venoso afectado1820.

Figura 4. Trombosis venosa cerebral. Cortes coronales de RM en secuencia T1 con gadolinio A y B: Se identifica un defecto de relleno a nivel del seno venoso transverso del lado izquierdo que se extiende al seno sigmoideo homolateral (flechas). Dichos hallazgos se correlacionan con ausencia de señal de la estructura mencionada en la reconstrucción 3D de la angio-RM venosa (C y D).

Figura 5. Infarto venoso cerebral. Cortes axiales de RM. A nivel temporoparietal izquierdo (flechas) se identifica un aumento de señal heterogénea en la secuencia de difusión (A) que se corresponde con una leve hipointensidad en el mapa de ADC con halo hiperintenso (B). Dichos hallazgos son visibles en FLAIR (C) y en secuencia FFE (D), mencionando en esta última algunas áreas hipointensas en su interior vinculadas a áreas de sangrado.

CEFALEA POSPUNCIÓN O SÍNDROME DE HIPOVOLEMIA DEL LÍQUIDO CEFALORRAQUÍDEO

Es una patología que se asocia a la hipotensión intracraneal, caracterizada por una presión < 60 mmH2O. El mecanismo fisiopatológico implicado es la fuga continua de líquido cefalorraquídeo a través del orificio que se produce con la aguja del espacio subaracnoideo al epidural. La pérdida es mayor que la producción, alterando la dinámica del líquido cefalorraquídeo, que pierde su elemento de amortiguamiento hídrico y el cerebro desciende de su posición habitual al ponerse de pie el paciente. Para compensar la deficiencia de líquido cefalorraquídeo hay una vasodilatación secundaria, por lo que los estímulos provocan que el dolor tenga una naturaleza pulsátil21,22.

  • Clínica: cefalea de características ortostáticas; se puede asociar a acúfenos, diplopía e inestabilidad, que aparece a las horas o días tras la punción9,23.
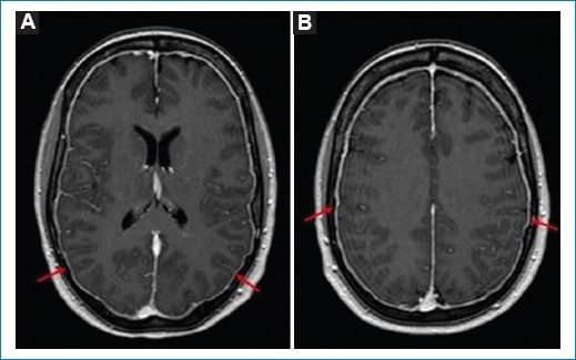
  • RM: es el método de elección. Se observan engrosamiento y realce difuso dural en el 85% de los casos (Fig. 6), que puede asociarse a colección subdural, descenso de las amígdalas cerebelosas y con menor frecuencia a signos de ingurgitación venosa4,11.

Figura 6. Cefalea pospunción. Cortes axiales de RM a nivel de los ventrículos laterales (A) y los centros semiovales (B), secuencia ponderada en T1 con gadolinio. Las flechas señalan un ligero engrosamiento y realce paquimeníngeo.

Por lo previamente mencionado, el diagnóstico de las diferentes patologías que cursan con cefalea en pacientes embarazadas requiere especial atención. El siguiente cuadro resume los tipos de cefaleas más comunes y los hallazgos radiológicos claves que orientan al médico radiólogo en su evaluación (Tabla 2).

Tabla 2. Síntesis sobre los aspectos imagenológicos relevantes en algunas de las cefaleas secundarias

Preclamsia/eclampsia, SEPR Síndrome de vasoconstricción cerebral reversible Trombosis venosa cerebral Cefalea pospunción
TC < 24 h estudio normal > 24 h hipodensidad cortico-subcortical parieto-occipital uni- o bilateral < 24 h de estudio normal Fase subaguda: tenue hipodensidad cortico-subcortical con o sin HSA Hiperdensidad del seno afectado Área hipodensa sin límite vascular arterial (infarto venoso) Puede presentar descenso de amígdalas cerebelosas Asociación a colecciones subdurales
Difusión/ mapa ADC Suele ser negativo Puede tener restricción si hay edema citotóxico Negativa Variable y heterogéneo por mezcla de edema citotóxico y vasogénico, con áreas de hemorragia Negativa
FLAIR/T2 Aumento de señal cortico-subcortical, en general bilateral y simétrico de predominio parieto-occipital Aumento de señal cortico-subcortical en el territorio afectado Defecto de flujo en el seno comprometido, varía su señal según su estadio evolutivo Colecciones subdurales
GRE Puede presentar áreas de HSA Puede presentar áreas de HSA Marcada hipointensidad en el seno trombosado en el estadio agudo Hemorragias petequiales hipointensas Puede presentar colecciones subdurales
Gadolinio Sin realces patológicos Sin realces patológicos Defecto de relleno en el seno trombosado Signo del delta vacío Engrosamiento y realce paquimeníngeo
Angio-TC y angio-RM Vasoconstricción segmentaria en arterias cerebrales de mediano y gran calibre del territorio posterior Estenosis multifocales reversibles (se resuelve en unos 3 meses) de vasos de segundo y tercer orden, de la circulación anterior y posterior Ausencia de señal del seno afectado Hiperemia dural por circulación colateral Sin alteraciones

Conclusiones

La cefalea es un síntoma frecuente en las embarazadas y puérperas. Ante su persistencia, gravedad y asociación a otros focos neurológicos, es necesaria una correcta evaluación clínica y la complementación con estudios de imagen. La RM, en combinación con la angio-RM arterial y venosa, es el estudio de elección con el fin de evitar la exposición a la radiación de la TC. Sin embargo, en caso de alguna contraindicación absoluta, la TC con bajas dosis de radiación y adecuada protección se considera segura. Por tanto, un adecuado enfoque clínico y las imágenes proporcionan un diagnóstico precoz y acertado para evitar futuras complicaciones.

Financiamiento

Los autores declaran no haber recibido financiamiento para este estudio.

Conflicto de intereses

Los autores declaran no tener conflicto de intereses.

Responsabilidades éticas

Protección de personas y animales. Los autores declaran que para esta investigación no se han realizado experimentos en seres humanos ni en animales.

Confidencialidad de los datos. Los autores declaran que en este artículo no aparecen datos de pacientes.

Derecho a la privacidad y consentimiento informado. Los autores declaran que en este artículo no aparecen datos de pacientes.

Uso de inteligencia artificial para generar textos. Los autores declaran que no han utilizado ningún tipo de inteligencia artificial generativa en la redacción de este manuscrito ni para la creación de figuras, gráficos, tablas o sus correspondientes pies o leyendas.

Bibliografía

1. Imad TZ, Harjot SD, Karl KK. Imaging of neurologic disorders associated with pregnancy and the postpartum period. RadioGraphics. 2007;27:95-108.

2. Sáez DM, Fuentes PS. Neurology and pregnancy, Rev Chil Neuro-Psiquiatr. 2010;48:279-91.

3. Guryildirim M, Kontzialis M, Ozen M, Kocak M. Acute headache in the emergency setting. RadioGraphics. 2019;39:1739-59.

4. Kanekar S, Bennett S. Imaging of neurologic conditions in pregnant patients. RadioGraphics. 2016;36:2102-22.

5. Deza Bringas L. La migraña.Acta Med Peru. 2010;27:129-36.

6. María Loreto Cid J. Cefaleas, evaluación y manejo inicial. Rev Med Clin Condes. 2014;25:651-7.

7. Silberstein SD. Evaluation and emergency treatment of headache. Headache. 1992;32:396-407.

8. Torre-León T, Miranda-Contreras A, Gómez-Secundino M, Nava-López J,Torre-León M, Olsen E. Encefalopatía posterior reversible durante el puerperio, secundaria a eclampsia. Reporte de dos casos. Ginecol Obstet Mex. 2018;86:815-22.

9. Hasbún HJ, Rodríguez GM, Miranda GG. Síndrome de encefalopatía posterior reversible (PRES) en dos casos clínicos de eclampsia. Rev Chil Neuro-Psiquiatr. 2012;50:35-41.

10. Martínez Montalbán M, Lacoma Latre E, Carro Alonso B. ¡Que no cunda el pánico!Embarazada y radiología, quédebemos saber. Seram. 2018. Disponible en:https://piper.espacio-seram.com/index.php/seram/article/view/981.

11. Patel SJ, Reede DL, Katz DS, Subramaniam R, Amorosa JK. Imaging the pregnant patient for nonobstetric conditions:algorithms and radiation dose considerations. RadioGraphics. 2007;27:1705-22.

12. Saniger A, Rodríguez Balaguer R, Arévalo Ortiz V. Síndrome de encefalopatía posterior reversible:no siempre reversible y no necesariamente confinada a las regiones posteriores del cerebro. Rev Mex Neuroci. 2012;11:373-7.

13. González-García N, Díaz de Terán J, López-Veloso AC, Mas-Sala N, Mínguez-Olaondo A, Ruiz-Piñero M, et al. Cefalea:embarazo y lactancia. Recomendaciones del Grupo de Estudio de Cefaleas de la Sociedad Española de Neurología (GECSEN). Neurologia. 2022;37:1-12.

14. Lacunza R, Pacheco Romero J. Implicancias neurológicas de la preclampsia, más que solo eclampsia. Rev Peru Ginecol Obstet. 2015;61: 407-16.

15. Schwartz RB, Feske SK, Polak JF, DeGirolami U, Iaia A, Beckner KM, et al. Preeclampsia-eclampsia:clinical and neuroradiographic correlates and insights into the pathogenesis of hypertensive encephalopathy. Radiology. 2000;217:371-6.

16. Ducros A. Reversible cerebral vasoconstriction syndrome. Lancet Neurol. 2012;11:906-17.

17. Serrano-Berrones MA, Centeno-Durán G. Síndrome de vasoconstricción cerebral reversible (Call-Fleming) en el puerperio:reporte de un caso. Ginecol Obstet Mex. 2019;87:213-6.

18. Dmytriw AA, Song JSA, Yu E, Poon CS. Cerebral venous thrombosis:state of the art diagnosis and management. Neuroradiology. 2018; 60:669-85.

19. Redondo P, Garzon-Ruiz J, Moral-Cano M, Bahamonde-Cabria S, Barragán-Tabares J, Simal-Fernandez J. Trombosis venosa cerebral:claves para el diagnóstico. Seram 2014/S-0242. Disponible en:https://dx.doi.org/10.1594/seram2014/S-0242

20. Rodríguez-Granillo G, Gómez E, Bastarrika G, Cademartini F. TC y RM cardiovascular. Fundamentos clínicos. Buenos Aires, Argentina:Ediciones Journal;2019.

21. Sensakovic WF, Royall I, Hough M, Potrebko P, Grekoski V, Vicenti R. Fetal dosimetry at CT:a primer. RadioGraphics. 2020;40:1061-70.

22. Thabet A, Kalva SP, Liu B, Mueller PR, Lee SI. Interventional radiology in pregnancy complications:indications, technique, and methods for minimizing radiation exposure. RadioGraphics. 2012; 32:255-74.

23. Correa-Padilla JM. Cefalea pospunción dural en la paciente obstétrica. Rev Cubana Obstet Ginecol. 2012;38:256-68.